missing translation for 'onlineSavingsMsg'
Learn More
Learn More
Invitrogen™ NOLA3 Recombinant Rabbit Monoclonal Antibody (JE61-51)

Rabbit Recombinant Monoclonal Antibody
Brand: Invitrogen™ MA544860
This item is not returnable.
View return policy
Description
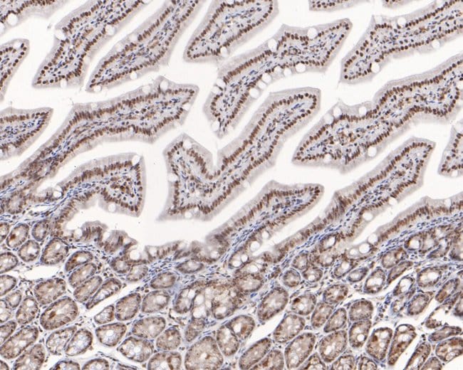
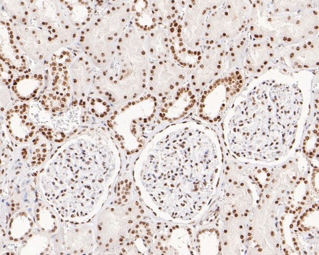
NOLA3 Recombinant Monoclonal Antibody for Western Blot, IHC (P)
This gene is a member of the H/ACA snoRNPs (small nucleolar ribonucleoproteins) gene family. snoRNPs are involved in various aspects of rRNA processing and modification and have been classified into two families: C/D and H/ACA. The H/ACA snoRNPs also include the DKC1, NOLA1 and NOLA2 proteins. These four H/ACA snoRNP proteins localize to the dense fibrillar components of nucleoli and to coiled (Cajal) bodies in the nucleus. Both 18S rRNA production and rRNA pseudouridylation are impaired if any one of the four proteins is depleted. The four H/ACA snoRNP proteins are also components of the telomerase complex. This gene encodes a protein related to Saccharomyces cerevisiae Nop10p.
Specifications
| NOLA3 | |
| Recombinant Monoclonal | |
| 1 mg/mL | |
| TBS with 0.05% BSA, 40% glycerol and 0.05% sodium azide; pH 7.4 | |
| Q9CQS2, Q9NPE3 | |
| NOP10 | |
| Recombinant protein within human NOP10 aa aa 1-64/64. | |
| 100 μL | |
| Primary | |
| Human, Mouse | |
| Antibody | |
| IgG |
| Immunohistochemistry (Paraffin), Western Blot | |
| JE61-51 | |
| Unconjugated | |
| NOP10 | |
| DKCB1; H/ACA ribonucleoprotein complex subunit 3; homolog of yeast Nop10p; NOLA3; NOP10; NOP10 ribonucleoprotein; NOP10 ribonucleoprotein homolog; NOP10P; nucleolar protein 10; Nucleolar protein family A member 3; nucleolar protein family A, member 3 (H/ACA small nucleolar RNPs); snoRNP protein NOP10 | |
| Rabbit | |
| Protein A | |
| RUO | |
| 55505, 66181 | |
| Store at 4°C short term. For long term storage, store at -20°C, avoiding freeze/thaw cycles. | |
| Liquid |
Product Content Correction
Your input is important to us. Please complete this form to provide feedback related to the content on this product.
Product Title
Spot an opportunity for improvement?Share a Content Correction