missing translation for 'onlineSavingsMsg'
Learn More

NOM1 Polyclonal Antibody, Invitrogen™

Rabbit Polyclonal Antibody

Brand:  Invitrogen PA539315

Product Code. 15576221

  • € 486.16 / 100µg

Please to purchase this item. Need a web account? Register with us today!

This item is not returnable. View return policy

Description

Description

Proteins that contain MIF4G (middle of eIF4G (MIM 600495)) and/or MA3 domains, such as NOM1, function in protein translation. These domains include binding sites for members of the EIF4A family of ATP-dependent DEAD box RNA helicases (see EIF4A1; MIM 602641) (Simmons et al., 2005 [PubMed 15715967]).[supplied by OMIM, Mar 2008].
TRUSTED_SUSTAINABILITY
Specifications

Specifications

NOM1
Polyclonal
Unconjugated
NOM1
Gm1040, C7orf3
Rabbit
Antigen affinity chromatography
RUO
433864, 64434
-20°C
Liquid
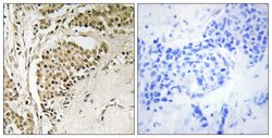
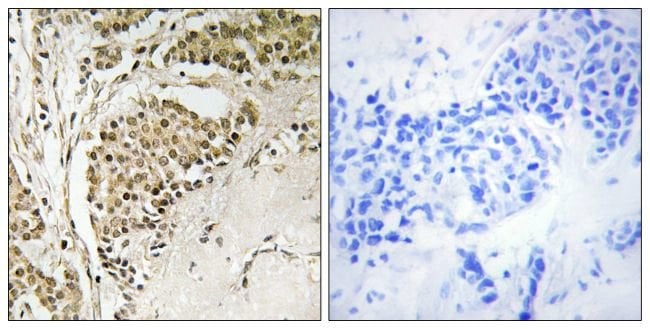
Immunohistochemistry (Paraffin)
1 mg/mL
Dulbecco′s PBS with 150mM NaCl, 50% glycerol and 0.02% sodium azide; pH 7.4
Q5C9Z4, Q3UFM5
NOM1
A synthetic peptide derived from the C-terminal region of human NOM1
100 μg
Primary
Human, Mouse
Antibody
IgG
Product Suggestions

Product Suggestions

Videos
SDS
Documents

Documents

Certificates
Promotions

Promotions

Product Content Correction

Your input is important to us. Please complete this form to provide feedback related to the content on this product.

Product Title

By clicking Submit, you acknowledge that you may be contacted by Fisher Scientific in regards to the feedback you have provided in this form. We will not share your information for any other purposes. All contact information provided shall also be maintained in accordance with our Privacy Policy.

Thank You! Your feedback has been submitted. Fisher Scientific is always working to improve our content for you. We appreciate your feedback.