missing translation for 'onlineSavingsMsg'
Learn More

NR1I3 Mouse anti-Human, Clone: OTI10F9, lyophilized, TrueMAB™

Mouse Monoclonal Antibody

Brand:  Origene Technologies CF805306

Encompass_Preferred

Product Code. 17678371

  • € 726.00 / 100µg

Please to purchase this item. Need a web account? Register with us today!

This item is not returnable. View return policy

Description

Description

Reconstitute with PBS (pH 7.3) and recommend to perform another round of desalting process using Product No. 7KMWCO

This gene encodes a member of the nuclear receptor superfamily, and is a key regulator of xenobiotic and endobiotic metabolism. The protein binds to DNA as a monomer or a heterodimer with the retinoid X receptor and regulates the transcription of target genes involved in drug metabolism and bilirubin clearance, such as cytochrome P450 family members. Unlike most nuclear receptors, this transcriptional regulator is constitutively active in the absence of ligand but is regulated by both agonists and inverse agonists. Ligand binding results in translocation of this protein to the nucleus, where it activates or represses target gene transcription. These ligands include bilirubin, a variety of foreign compounds, steroid hormones, and prescription drugs. Multiple transcript variants encoding different isoforms have been found for this gene.
Specifications

Specifications

NR1I3
Monoclonal
Unconjugated
NR1I3
CAR, CAR1, MB67
Mouse
Affinity Chromatography
RUO
9970
-20° C, Avoid Freeze/Thaw Cycles
Lyophilized
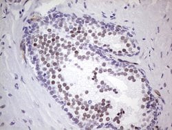
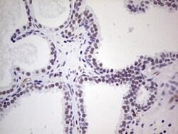
Immunohistochemistry (Paraffin), Western Blot
OTI10F9
PBS with 8% trehalose and no preservative; pH 7.3
Q14994
NR1I3
Human recombit protein fragment corresponding to amino acids 1-236 of human NR1I3 produced in E.coli.
100 μg
Primary
Human
Antibody
IgG1
Product Suggestions

Product Suggestions

Videos
SDS
Documents

Documents

Certificates
Promotions

Promotions

Product Content Correction

The Fisher Scientific Encompass Program offers items which are not part of our distribution portfolio. These products typically do not have pictures or detailed descriptions. However, we are committed to improving your shopping experience. Please use the form below to provide feedback related to the content on this product.

Product Title

By clicking Submit, you acknowledge that you may be contacted by Fisher Scientific in regards to the feedback you have provided in this form. We will not share your information for any other purposes. All contact information provided shall also be maintained in accordance with our Privacy Policy.

Thank You! Your feedback has been submitted. Fisher Scientific is always working to improve our content for you. We appreciate your feedback.