missing translation for 'onlineSavingsMsg'
Learn More

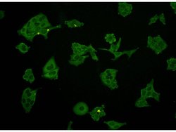
Invitrogen™ NSE Polyclonal Antibody

Rabbit Polyclonal Antibody

Brand:  Invitrogen™ PA5140999

Product Code. 17827862

  • € 481.00 / 100µL

Please to purchase this item. Need a web account? Register with us today!

This item is not returnable. View return policy

Description

Description

NSE Polyclonal Antibody for Western Blot, ICC/IF

Neuron specific enolase (NSE, ENO1, ENO2, ENO3) is an enzyme that catalyzes the conversion of 2-phosphoglycerate to phosphoenolpyruvate in the glycolytic pathway, and the reverse reaction in gluconeogenesis. NSE has a high stability in biological fluids and can easily diffuse to the extracellular medium and cerebrospinal fluid (CSF) when neuronal membranes are injured.NSE is one of three mammalian enolases, which are also known as ENO1, ENO2, and ENO3 or alternately as enolase alpha, beta and gamma. The alpha-subunit is expressed in most tissues, the beta-subunit only in muscle, and the gamma-subunit is expressed primarily in neurons, in normal and in neoplastic neuroendocrine cells. Co-expression of NSE and chromogranin A is common in neuroendocrine neoplasms. Since neurons require a great deal of energy, they are very rich in glycolytic enzymes such a GAPDH and NSE. Antibodies to NSE protein are useful to identify neuronal cell bodies, developing neuronal lineage and neuroendocrine cells. Release of NSE from damaged neurons into CSF and blood has also been used as a biomarker of neuronal injury. NSE is used clinically as a sensitive and useful marker of neuronal damage in several neurological disorders including stroke, hypoxic brain damage, status epilepticus, Creutzfeldt-Jakob disease, and herpetic encephalitis. Further, NSE is found in elevated concentrations in plasma and certain neoplasias that include pediatric neuroblastoma and small cell lung cancer.
TRUSTED_SUSTAINABILITY
Specifications

Specifications

NSE
Polyclonal
Unconjugated
ENO2
2-phospho-D-glycerate hydrolyase; 2-phospho-D-glycerate hydro-lyase; AI837106; D6Ertd375e; Eno; ENO2; Eno-2; ENOG; Enolase 2; enolase 2 (gamma, neuronal); enolase 2, gamma neuronal; enolase 2, gamma, neuronal; epididymis secretory protein Li 279; gamma enolase; gamma-enolase; gamma-enolase-like; gamma-subunit of enolase; HEL-S-279; LOC100911625; Neural enolase; neuron specific enolase; neuron specific gamma enolase; Neuronal Enolase; neuronal enriched enolase; neurone-specific enolase; neuron-specific enolase; NSE; RNEN3
Rabbit
Antigen affinity chromatography
RUO
13807, 2026, 24334, 402874
Store at 4°C short term. For long term storage, store at -20°C, avoiding freeze/thaw cycles.
Liquid
Western Blot, Immunocytochemistry
1 mg/mL
PBS with 0.2% BSA, 40% glycerol and 0.05% sodium azide; pH 7.4
P07323, P09104, P17183
ENO2
Synthetic peptide within N-terminal human NSE.
100 μL
Primary
Human, Mouse, Rat, Fish, Zebrafish
Antibody
IgG
Product Suggestions

Product Suggestions

Videos
SDS
Documents

Documents

Certificates
Promotions

Promotions

Product Content Correction

Your input is important to us. Please complete this form to provide feedback related to the content on this product.

Product Title

By clicking Submit, you acknowledge that you may be contacted by Fisher Scientific in regards to the feedback you have provided in this form. We will not share your information for any other purposes. All contact information provided shall also be maintained in accordance with our Privacy Policy.

Thank You! Your feedback has been submitted. Fisher Scientific is always working to improve our content for you. We appreciate your feedback.