missing translation for 'onlineSavingsMsg'
Learn More

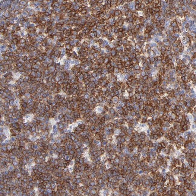
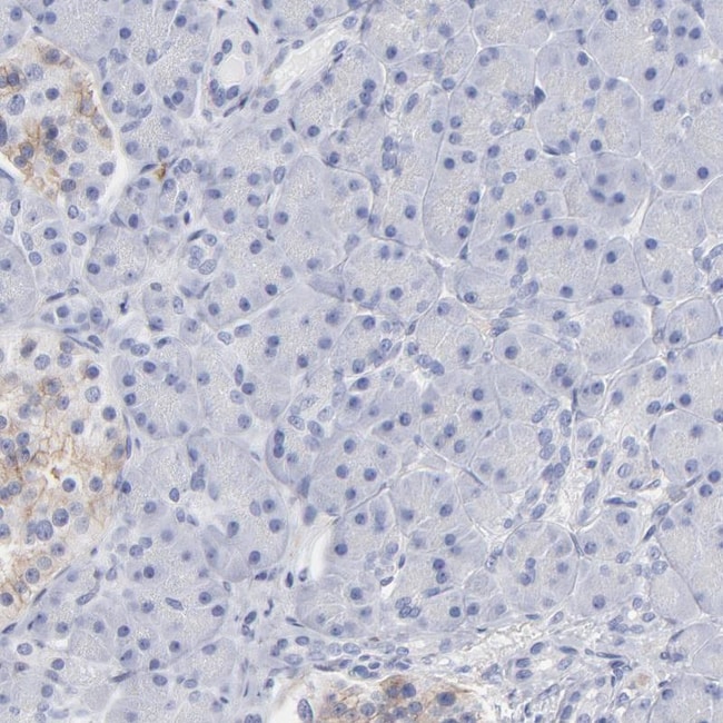
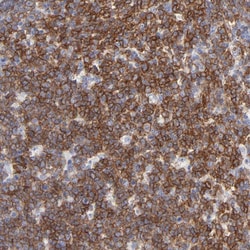
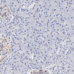
Invitrogen™ NTAL Polyclonal Antibody

Product Code. 16319064
Change view
Click to view available options
Quantity:
100 μL
Unit Size:
100µL
1 product options available for selection
Product selection table with 1 available options. Use arrow keys to navigate and Enter or Space to select.
Product Code. Quantity unitSize
16319064 100 μL 100µL
Use arrow keys to navigate between rows. Press Enter or Space to select a product option. 1 options available.
1 options
This item is not returnable. View return policy
Product Code. 16319064 Supplier Invitrogen™ Supplier No. PA582095

Please to purchase this item. Need a web account? Register with us today!

This item is not returnable. View return policy

Rabbit Polyclonal Antibody

Immunogen sequence: AKRSEKIYQQ RSLREDQQSF TGSRTYSLVG QAWPGPLADM APTRKDKLLQ FYPSLEDPAS SRYQNFSKGS RHGSEEAYID PIAMEYYNWG RFSKPPEDDD ANSYENVLIC KQKTTETGAQ QEGIGGLCRG DLSLSLALKT GPT Highest antigen sequence indentity to the following orthologs: Rat - 46%, Mouse - 46%.

NTAL (Non-T cell Activation Linker), also known as LAB (Linker for activation of B cells), is a 30 kDa double-palmitoylated transmembrane adaptor protein expressed by B cells, NK cells, mast cells and macrophages. It is a negative regulator of early stages of BCR-dependent B cell signaling and serves as a negative regulator also in mast cells. However, in mast cells, NTAL also contributes to some activation processes, partially overlapping with LAT function.
TRUSTED_SUSTAINABILITY

Specifications

Antigen NTAL
Applications Immunohistochemistry (Paraffin), Western Blot
Classification Polyclonal
Concentration 0.05 mg/mL
Conjugate Unconjugated
Formulation PBS with 40% glycerol and 0.02% sodium azide; pH 7.2
Gene LAT2
Gene Accession No. Q9GZY6
Gene Alias AW125574; HSPC046; LAB; Lat2; LAT-2 like; Linker for activation of B-cells; linker for activation of T cells family, member 2; linker for activation of T cells, transmembrane adaptor 2; linker for activation of T-cells family member 2; Membrane-associated adapter molecule; non-T cell activation linker; non-T-cell activation linker; NTAL; WBS15; WBSCR15; WBSCR5; Williams-Beuren syndrome chromosomal region 15 protein; williams-Beuren syndrome chromosomal region 15 protein homolog; Williams-Beuren syndrome chromosomal region 5 protein; Williams-Beuren syndrome chromosome region 5 homolog; Williams-Beuren syndrome chromosome region 5-like protein; WSCR5
Gene Symbols LAT2
Host Species Rabbit
Immunogen Recombinant protein corresponding to Human LAT2. Recombinant protein control fragment (Product #RP-102142).
Purification Method Antigen affinity chromatography
Quantity 100 μL
Regulatory Status RUO
Primary or Secondary Primary
Gene ID (Entrez) 7462
Target Species Human
Content And Storage Store at 4°C short term. For long term storage, store at -20°C, avoiding freeze/thaw cycles.
Product Type Antibody
Form Liquid
Isotype IgG
Show More Show Less
Product Title
Select an issue

By clicking Submit, you acknowledge that you may be contacted by Fisher Scientific in regards to the feedback you have provided in this form. We will not share your information for any other purposes. All contact information provided shall also be maintained in accordance with our Privacy Policy.