missing translation for 'onlineSavingsMsg'
Learn More
Learn More
Invitrogen™ Nucleolin Recombinant Rabbit Monoclonal Antibody (JE65-71)

Rabbit Recombinant Monoclonal Antibody
Brand: Invitrogen™ MA544735
This item is not returnable.
View return policy
Description
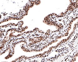
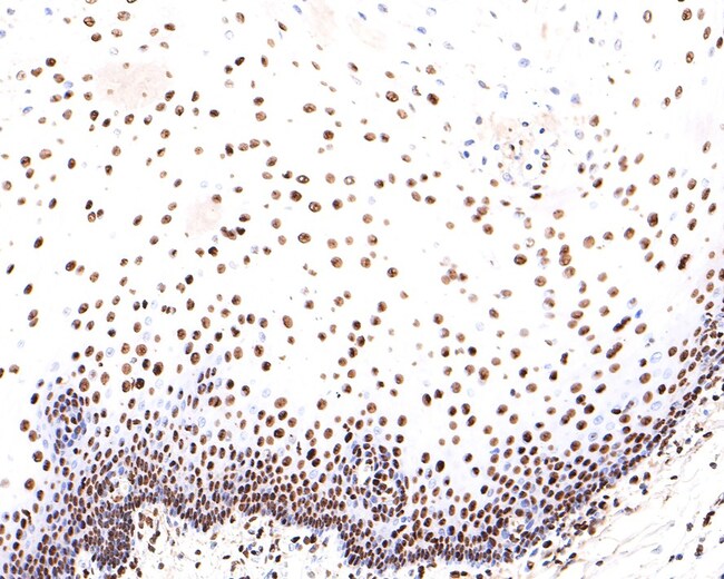
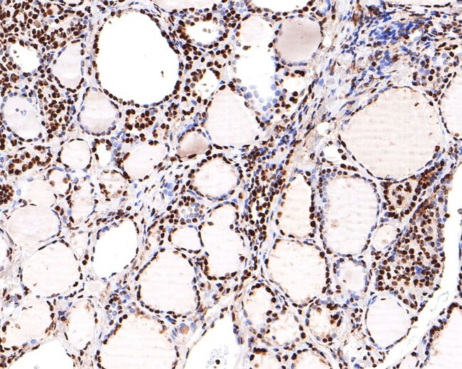
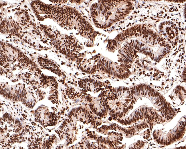
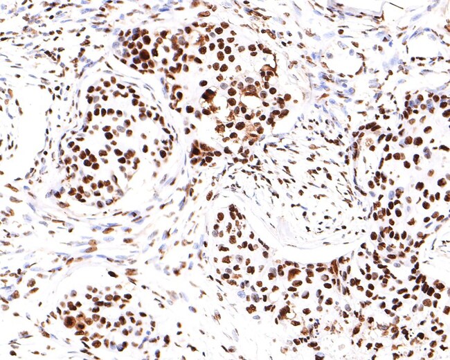
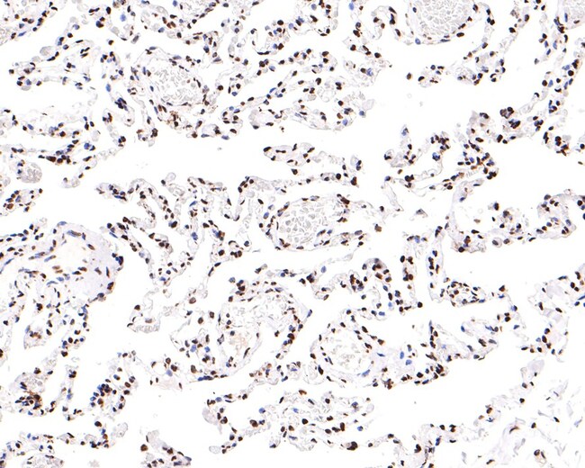
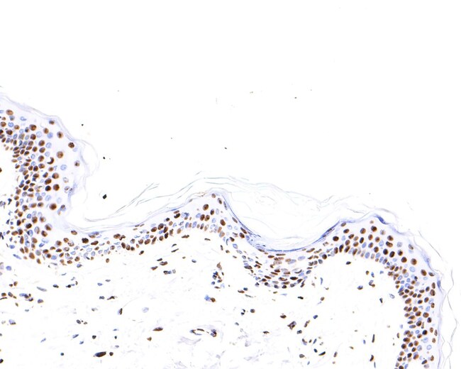
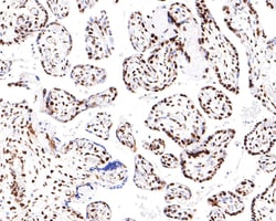
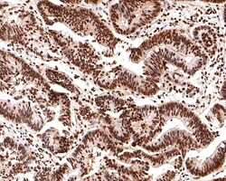
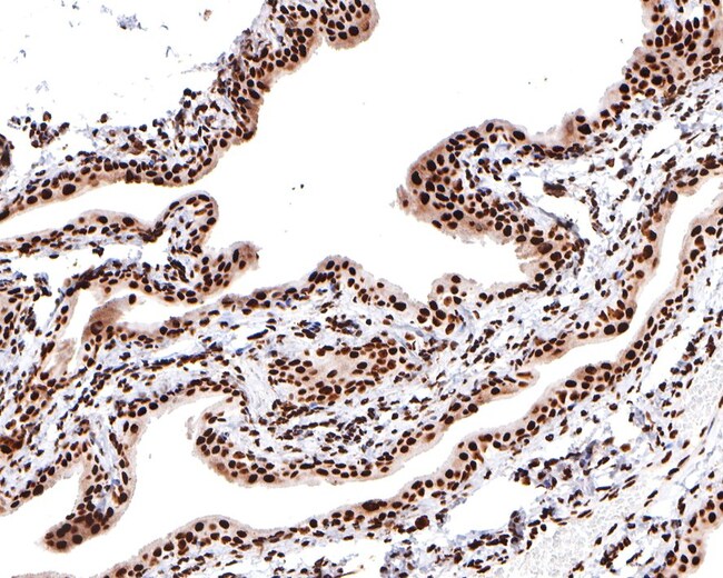
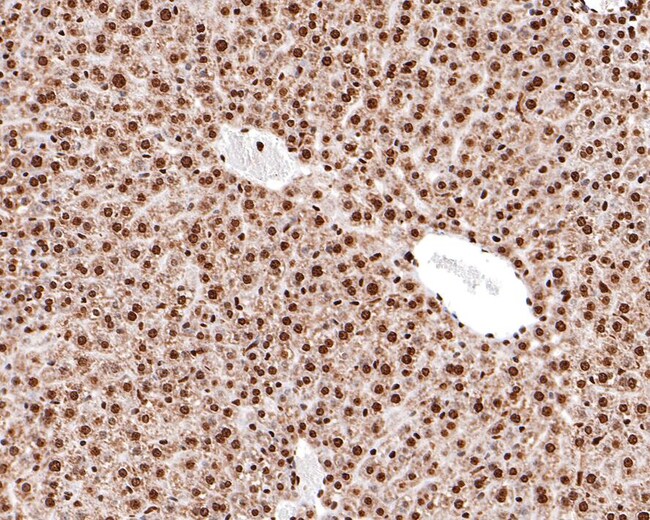
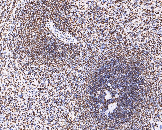
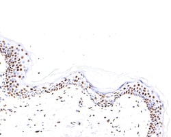
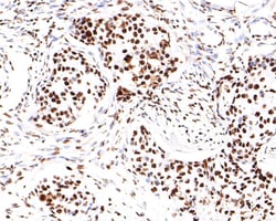
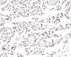
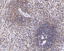
Nucleolin Recombinant Monoclonal Antibody for Western Blot, ICC/IF, IHC (P)
Nucleolin (NCL), a eukaryotic nucleolar phosphoprotein, is involved in the synthesis and maturation of ribosomes. It is located mainly in dense fibrillar regions of the nucleolus. Human NCL gene consists of 14 exons with 13 introns and spans approximately 11kb. The intron 11 of the NCL gene encodes a small nucleolar RNA, termed U20.
Specifications
| Nucleolin | |
| Recombinant Monoclonal | |
| 1 mg/mL | |
| TBS with 0.05% BSA, 40% glycerol and 0.05% sodium azide; pH 7.4 | |
| P09405, P13383, P19338 | |
| NCL | |
| Synthetic peptide within human CSDE1 aa 661-710/710. | |
| 100 μL | |
| Primary | |
| Human, Mouse, Rat | |
| Antibody | |
| IgG |
| Immunohistochemistry (Paraffin), Western Blot, Immunocytochemistry | |
| JE65-71 | |
| Unconjugated | |
| NCL | |
| B530004O11Rik; C23; D0Nds28; D1Nds28; FLJ45706; FLJ59041; Ncl; Nuc; Nucl; nucl antibody; Nucleolin; nucleolin-like protein; Protein C23 | |
| Rabbit | |
| Protein A | |
| RUO | |
| 17975, 25135, 4691 | |
| Store at 4°C short term. For long term storage, store at -20°C, avoiding freeze/thaw cycles. | |
| Liquid |
Product Content Correction
Your input is important to us. Please complete this form to provide feedback related to the content on this product.
Product Title
Spot an opportunity for improvement?Share a Content Correction