missing translation for 'onlineSavingsMsg'
Learn More

NXNL2 Monoclonal Antibody (OTI1C3), TrueMAB™, OriGene

Mouse Monoclonal Antibody

Brand:  Origene Technologies TA501215

Encompass_Preferred

 View more versions of this product

Product Code. 17583611

  • POA / 100µL

Please to purchase this item. Need a web account? Register with us today!

This item requires a price update prior to being ordered.

Request a Price for this item here.

View alternative products »

This item is not returnable. View return policy

Description

Description

The specific function of NXNL2 remains unknown.
Specifications

Specifications

NXNL2
Monoclonal
0.81 mg/mL
PBS with 1% BSA, 50% glycerol and 0.02% sodium azide
Q5VZ03
NXNL2
Full length human recombit protein of human NXNL2 produced in HEK293T cell.
100 μL
Primary
Human
Antibody
IgG2a
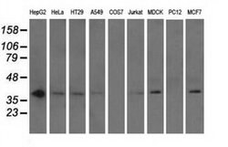
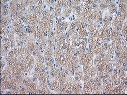
Immunocytochemistry, Immunofluorescence, Immunohistochemistry (Paraffin), Western Blot
OTI1C3
Unconjugated
NXNL2
C9orf121, RDCVF2, RdCVF2L
Mouse
Affinity Chromatography
RUO
158046
-20° C, Avoid Freeze/Thaw Cycles
Liquid
Product Suggestions

Product Suggestions

Videos
SDS
Documents

Documents

Certificates
Promotions

Promotions

Product Content Correction

The Fisher Scientific Encompass Program offers items which are not part of our distribution portfolio. These products typically do not have pictures or detailed descriptions. However, we are committed to improving your shopping experience. Please use the form below to provide feedback related to the content on this product.

Product Title

By clicking Submit, you acknowledge that you may be contacted by Fisher Scientific in regards to the feedback you have provided in this form. We will not share your information for any other purposes. All contact information provided shall also be maintained in accordance with our Privacy Policy.

Thank You! Your feedback has been submitted. Fisher Scientific is always working to improve our content for you. We appreciate your feedback.