missing translation for 'onlineSavingsMsg'
Learn More

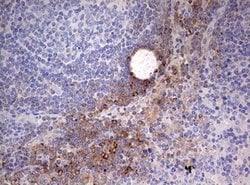
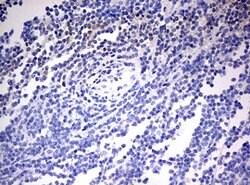
OAS2 Mouse anti-Human, Clone: OTI5E1, lyophilized, TrueMAB™

Product Code. 17647181
Encompass_Preferred
Change view
Click to view available options
Quantity:
100 μg
Unit Size:
100µg
1 product options available for selection
Product selection table with 1 available options. Use arrow keys to navigate and Enter or Space to select.
Product Code. Quantity unitSize
17647181 100 μg 100µg
Use arrow keys to navigate between rows. Press Enter or Space to select a product option. 1 options available.
1 options
This item is not returnable. View return policy
Product Code. 17647181 Supplier Origene Technologies Supplier No. CF802824

Please to purchase this item. Need a web account? Register with us today!

This item is not returnable. View return policy

Mouse Monoclonal Antibody

Reconstitute with PBS (pH 7.3) and recommend to perform another round of desalting process using Product No. 7KMWCO

This gene encodes a member of the 2-5A synthetase family, essential proteins involved in the innate immune response to viral infection. The encoded protein is induced by interferons and uses adenosine triphosphate in 2′-specific nucleotidyl transfer reactions to synthesize 2′,5′-oligoadenylates. These molecules activate latent RNase L, which results in viral RNA degradation and the inhibition of viral replication. The three known members of this gene family are located in a cluster on chromosome 12. Alternatively spliced transcript variants encoding different isoforms have been described.

Specifications

Antigen OAS2
Applications Immunohistochemistry (Paraffin), Western Blot
Classification Monoclonal
Clone OTI5E1
Conjugate Unconjugated
Formulation PBS with 8% trehalose and no preservative; pH 7.3
Gene OAS2
Gene Accession No. P29728
Gene Alias 2′-5′-oligoadenylate synthetase 2
Gene Symbols OAS2
Host Species Mouse
Immunogen Human recombit protein fragment corresponding to amino acids 60-335 of human OAS2 produced in E.coli.
Purification Method Affinity Chromatography
Quantity 100 μg
Regulatory Status RUO
Primary or Secondary Primary
Gene ID (Entrez) 4939
Target Species Human
Content And Storage -20° C, Avoid Freeze/Thaw Cycles
Product Type Antibody
Form Lyophilized
Isotype IgG2a
Show More Show Less
Product Title
Select an issue

By clicking Submit, you acknowledge that you may be contacted by Fisher Scientific in regards to the feedback you have provided in this form. We will not share your information for any other purposes. All contact information provided shall also be maintained in accordance with our Privacy Policy.