missing translation for 'onlineSavingsMsg'
Learn More
Learn More
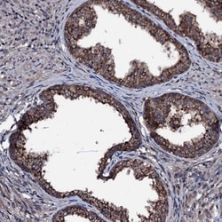
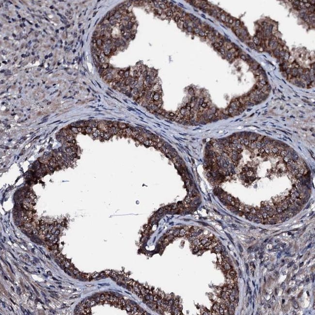
Description
Immunogen sequence: ARPEVYDSLQ DAALAPEFLA VTEYSVSPDA DLKGLLQRLE TVSEEKRIYR VPVFTAPFCQ ALLEELEHFE QSDMPKGRPN TMNNYG Highest antigen sequence identity to the following orthologs: Mouse - 87%, Rat - 87%.
OGFOD2 is a member of the 2-OG-Fe(II) dioxygenase family which plays an important role in ischemic survival and stress. Like the related protein OGFOD1, OGFOD2 is an oxidoreductase containing a Prolyl 4-hydroxylase alpha subunit. Little is known about the function of OGFOD2, but its similarity to OGFOD1 suggests that it is a novel stress granule component that may play an important proapoptotic role in the regulation of translation and HRI-mediated phosphorylation of eIF2alpha in cells.
Specifications
Specifications
| Antigen | OGFOD2 |
| Applications | Immunohistochemistry (Paraffin), Western Blot, Immunocytochemistry |
| Classification | Polyclonal |
| Concentration | 0.1 mg/mL |
| Conjugate | Unconjugated |
| Formulation | PBS with 40% glycerol and 0.02% sodium azide; pH 7.2 |
| Gene | OGFOD2 |
| Gene Accession No. | Q6N063, Q9CQ04 |
| Gene Alias | 1300006G11Rik; 2-oxoglutarate and iron dependent oxygenase domain containing 2; 2-oxoglutarate and iron-dependent oxygenase domain containing 2; 2-oxoglutarate and iron-dependent oxygenase domain-containing protein 2; 5730405M13Rik; AU041636; AW552395; OGFOD2; RGD1310594 |
| Gene Symbols | OGFOD2 |
| Show More |
Product Title
By clicking Submit, you acknowledge that you may be contacted by Fisher Scientific in regards to the feedback you have provided in this form. We will not share your information for any other purposes. All contact information provided shall also be maintained in accordance with our Privacy Policy.
Spot an opportunity for improvement?
