Learn More
Invitrogen™ OGFR Polyclonal Antibody

Rabbit Polyclonal Antibody
Brand: Invitrogen™ PA596570
Description
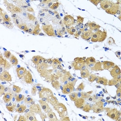
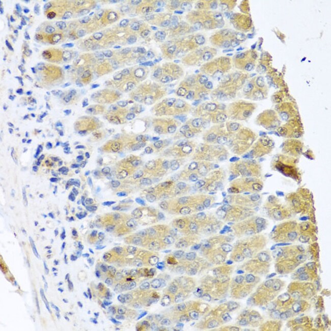
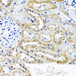
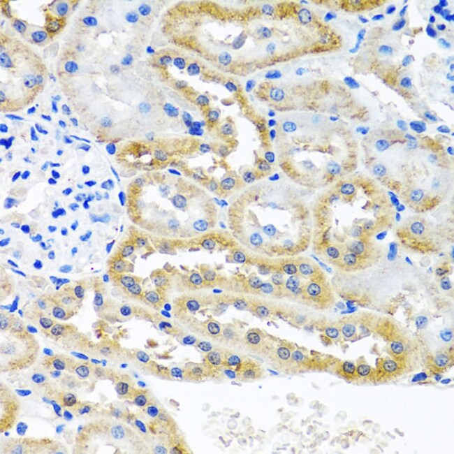
Positive Samples: A-431, Mouse kidney; Cellular Location: Cytoplasm, Nucleus Immunogen sequence: MDDPDCDSTW EEDEEDAEDA EDEDCEDGEA AGARDADAGD EDEESEEPRA ARPSSFQSRM TGSRNWRATR DMCRYRHNYP DLVERDCNGD TPNLSFYRNE IRFLPNGCFI EDILQNWTDN YDLLEDNHSY IQWLFPLREP GVNWHAKPLT LREVEVFKSS QEIQERLVRA YELMLGFYGI RLEDRGTGTV GRAQNYQKRF QNLNWRSHNN LRITRILKSL GELGLEHFQA PLVRFFLEET LVRRELPGVR QSALDYFMFA VRCRHQRRQL VHFAWEHFRP.
The protein encoded by this gene is a receptor for opioid growth factor (OGF), also known as [Met(5)]-enkephalin. OGF is a negative regulator of cell proliferation and tissue organization in a variety of processes. The encoded unbound receptor for OGF has been localized to the outer nuclear envelope, where it binds OGF and is translocated into the nucleus. The coding sequence of this gene contains a polymorphic region of 60 nt tandem imperfect repeat units. Several transcripts containing between zero and eight repeat units have been reported. [provided by RefSeq, Jul 2008].
Specifications
| OGFR | |
| Polyclonal | |
| Unconjugated | |
| OGFR | |
| 2010013E17Rik; 7-60 protein; Ogfr; Opioid growth factor receptor; protein 7-60; Zeta-type opioid receptor | |
| Rabbit | |
| Affinity Chromatography | |
| RUO | |
| 11054, 72075, 83525 | |
| -20°C, Avoid Freeze/Thaw Cycles | |
| Liquid |
| ELISA, Immunohistochemistry (Paraffin), Western Blot, Immunocytochemistry | |
| 1.81 mg/mL | |
| PBS with 50% glycerol and 0.09% sodium azide; pH 7.3 | |
| Q99PG2, Q9NZT2, Q9QXY4 | |
| OGFR | |
| Recombinant fusion protein containing a sequence corresponding to amino acids 1-280 of human OGFR (NP_0313722). | |
| 100 μL | |
| Primary | |
| Human, Mouse, Rat | |
| Antibody | |
| IgG |
Bitte geben Sie uns Ihr Feedback zu den Produktinhalten, indem Sie das folgende Formular ausfüllen.