missing translation for 'onlineSavingsMsg'
Learn More
Learn More
Description
Immunogen sequence: RRRSSIEAME ESDRPCEISE IDDNPKISEN PRRSPTHEKN TMGAQEAHIY VKTVAGSEEP VHDRYRPTIE MERRRGLWWL VPRLSLE Highest antigen sequence identity to the following orthologs: Mouse - 72%, Rat - 75%.
Specifications
Specifications
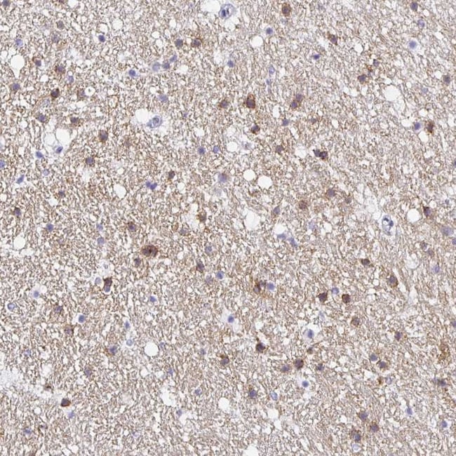
| Antigen | OPALIN |
| Applications | Immunohistochemistry (Paraffin) |
| Classification | Polyclonal |
| Concentration | 0.05 mg/mL |
| Conjugate | Unconjugated |
| Formulation | PBS with 40% glycerol and 0.02% sodium azide; pH 7.2 |
| Gene | OPALIN |
| Gene Accession No. | Q96PE5 |
| Gene Alias | HTMP10; Oligodendrocytic myelin paranodal and inner loop protein; opalin; TMEM10; TMP10; transmembrane protein 10; transmembrane protein TMP10 |
| Gene Symbols | OPALIN |
| Show More |
Product Title
By clicking Submit, you acknowledge that you may be contacted by Fisher Scientific in regards to the feedback you have provided in this form. We will not share your information for any other purposes. All contact information provided shall also be maintained in accordance with our Privacy Policy.
Spot an opportunity for improvement?
