missing translation for 'onlineSavingsMsg'
Learn More
Learn More
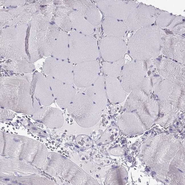
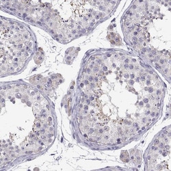
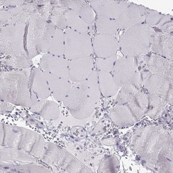
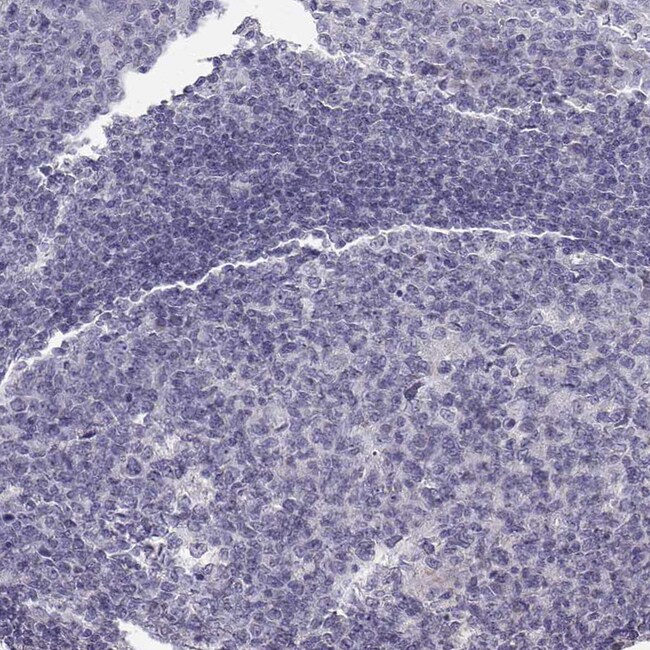
Invitrogen™ Oxytocin Polyclonal Antibody

Description
Immunogen sequence: ICCAEELGCF VGTAEALRCQ EENYLPSPCQ SGQKACGS Highest antigen sequence indentity to the following orthologs: Mouse - 95%, Rat - 95%.
There are two proteins encoded by this gene, oxytocin and neurophysin I. Oxytocin is posterior pituitary hormone which is synthesized as an inactive precursor in the hypothalamus along with its carrier protein neurophysin I. Together with neurophysin, it is packaged into neurosecretory vesicles and transported axonally to the nerve endings in the neurohypophysis, where it is either stored or secreted into the bloodstream. The precursor seems to be activated while it is being transported along the axon to the posterior pituitary. This hormone contracts smooth muscle during parturition and lactation. It is also involved in cognition, tolerance, adaptation and complex sexual and maternal behaviour, as well as in the regulation of water excretion and cardiovascular functions.
Specifications
Specifications
| Antigen | Oxytocin |
| Applications | Immunohistochemistry (Paraffin) |
| Classification | Polyclonal |
| Concentration | 0.2 mg/mL |
| Conjugate | Unconjugated |
| Formulation | PBS with 40% glycerol and 0.02% sodium azide; pH 7.2 |
| Gene | OXT |
| Gene Accession No. | P01178, P01179 |
| Gene Alias | neurophysin 1; neurophysin I; Ocytocin; Ot; OT-NPI; oxcytocin; OXT; OXT-NPI; Oxy; Oxytocin; oxytocin, prepro- (neurophysin I); oxytocin, prepropeptide; oxytocin/neurophysin (Oxt) gene, complete gene, complete cds; oxytocin/neurophysin 1 prepropeptide; oxytocin/neurophysin I prepropeptide; oxytocin-neurophysin 1; oxytocin-neurophysin I; oxytocin-neurophysin I, preproprotein; prepropeptide for oxytocin and neurophysin; unnamed protein product |
| Gene Symbols | OXT |
| Show More |
Product Title
By clicking Submit, you acknowledge that you may be contacted by Fisher Scientific in regards to the feedback you have provided in this form. We will not share your information for any other purposes. All contact information provided shall also be maintained in accordance with our Privacy Policy.
Spot an opportunity for improvement?