missing translation for 'onlineSavingsMsg'
Learn More

DCXR Antibody (OTI7D11), Novus Biologicals™

Mouse Monoclonal Antibody

Brand:  Novus Biologicals NBP2-02192

Product Code. 18037536

  • € 547.00 / 0.10mL

Please to purchase this item. Need a web account? Register with us today!

This item is not returnable. View return policy

Description

Description

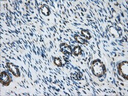
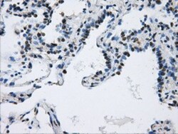
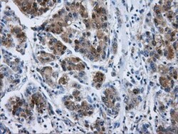
DCXR Monoclonal specifically detects DCXR in Human samples. It is validated for Western Blot, Immunohistochemistry, Immunohistochemistry-Paraffin.
TRUSTED_SUSTAINABILITY
Specifications

Specifications

DCXR
Monoclonal
0.51 mg/mL
Western Blot 1:2000, Immunohistochemistry 1:10-1:500, Immunohistochemistry-Paraffin 1:50
DCXR
Full length human recombinant protein of human DCXR (NP_057370) produced in HEK293T cell.
Affinity Purified
RUO
Primary
Human
IgG1
Western Blot, Immunohistochemistry, Immunohistochemistry (Paraffin)
OTI7D11
Unconjugated
Carbonyl reductase II, DCR, dicarbonyl/L-xylulose reductaseP34H, EC 1.1.1, EC 1.1.1.10, HCR2, HCRII, human carbonyl reductase 2, KIDCR, Kidney dicarbonyl reductase, L-xylulose reductase, SDR20C1, short chain dehydrogenase/reductase family 20C, member 1, Sperm surface protein P34H, XR
Mouse
25.9 kDa
0.1 mL
Apoptosis, Cell Biology, Cytokine Research, Immunology, Innate Immunity, Lipid and Metabolism
51181
Store at -20°C. Avoid freeze-thaw cycles.
Product Suggestions

Product Suggestions

Videos
SDS
Documents

Documents

Certificates
Promotions

Promotions

Product Content Correction

Your input is important to us. Please complete this form to provide feedback related to the content on this product.

Product Title

By clicking Submit, you acknowledge that you may be contacted by Fisher Scientific in regards to the feedback you have provided in this form. We will not share your information for any other purposes. All contact information provided shall also be maintained in accordance with our Privacy Policy.

Thank You! Your feedback has been submitted. Fisher Scientific is always working to improve our content for you. We appreciate your feedback.

For Research Use Only