missing translation for 'onlineSavingsMsg'
Learn More
Learn More
Invitrogen™ PARP1 Recombinant Rabbit Monoclonal Antibody (2G8N7)

Description
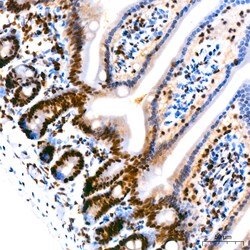
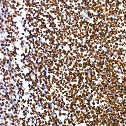
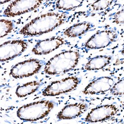
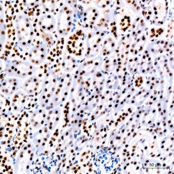
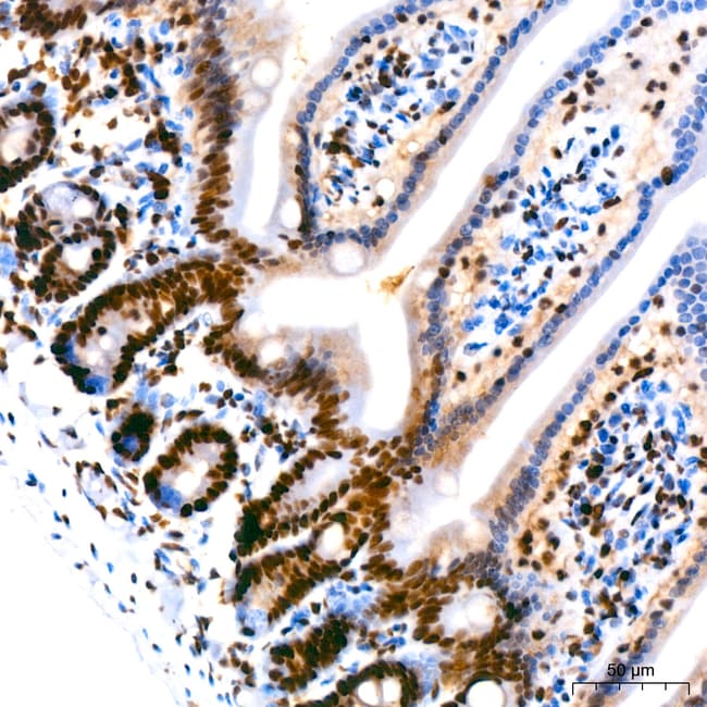
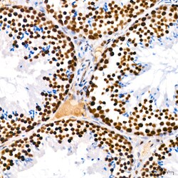
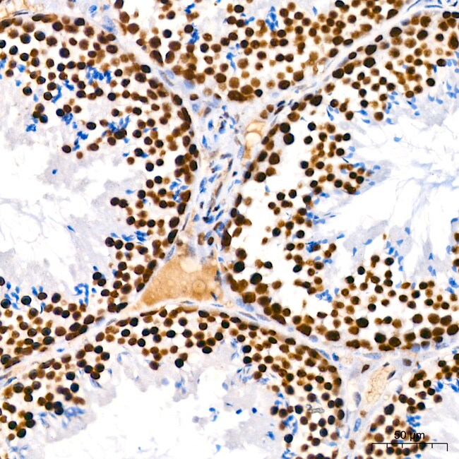
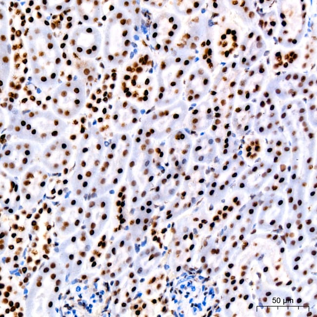
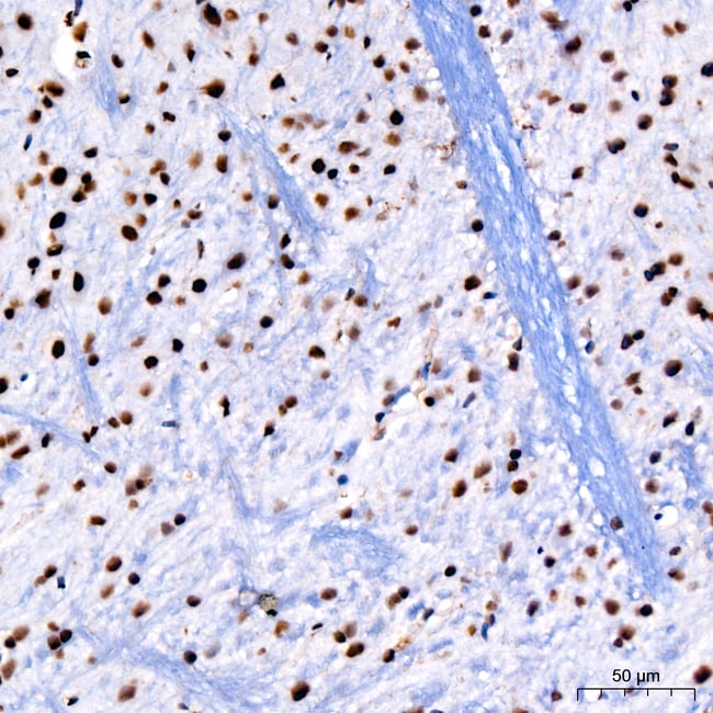
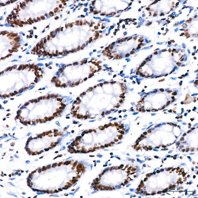
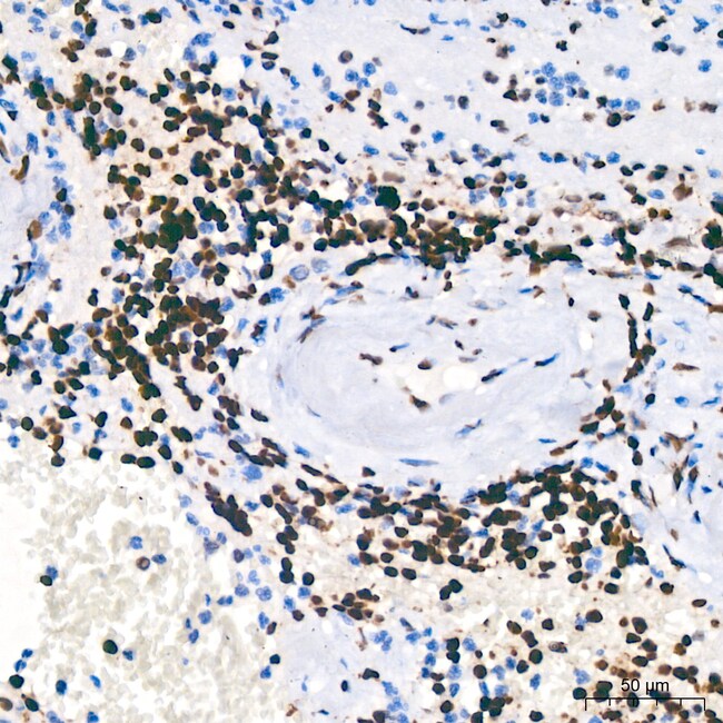
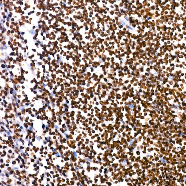
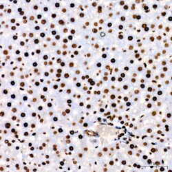
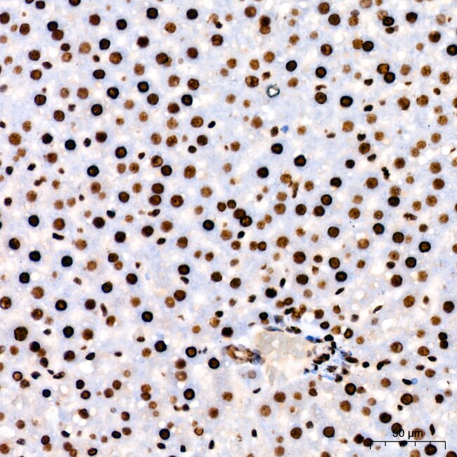
PARP1 Recombinant Monoclonal Antibody for ELISA, ICC/IF, IHC (P)
Poly ADP-Ribose Polymerase (PARP) uses nicotinamide adenine dinucleotide (oxidized form) NAD as a substrate to catalyse the transfer of ADP-ribose to a variety of nuclear protein acceptors. Proteolysis of PARP to its stable 85kDa fragment is an early marker of programmed cell death (apoptosis) and is mediated by the caspase CPP32 protein. Cleavage occurs between Adp216 and Gly217, a site in PARP conserved across species.
Specifications
Specifications
| Antigen | PARP1 |
| Applications | ELISA, Immunohistochemistry (Paraffin), Immunocytochemistry |
| Classification | Recombinant Monoclonal |
| Clone | 2G8N7 |
| Concentration | 0.5 mg/mL |
| Conjugate | Unconjugated |
| Formulation | PBS with 0.05% BSA, 50% glycerol and 0.05% ProClin 300; pH 7.3 |
| Gene | Parp1 |
| Gene Accession No. | P09874, P11103, P27008 |
| Gene Alias | 5830444G22Rik; ADP-ribosyltransferase (NAD+; ADP-ribosyltransferase (NAD+) poly (ADP-ribose) polymerase); ADP-ribosyltransferase (NAD+, poly (ADP-ribose) polymerase) 1; ADP-ribosyltransferase (NAD+; poly (ADP-ribose) polymerase); ADP-ribosyltransferase (NAD+; poly (ADP-ribose) polymerase) 1; ADP-ribosyltransferase 1; ADP-ribosyltransferase diphtheria toxin-like 1; ADP-ribosyltransferase NAD(+); Adprp; Adprt; ADPRT 1; Adprt1; AI893648; ARTD1; C80510; DNA ADP-ribosyltransferase PARP1; I79_014850; msPARP; NAD(+) ADP-ribosyltransferase 1; NAD(+) pADPRT-1; pADPRT-1; PARP; PARP1; PARP-1; poly (ADP-ribose) polymerase 1; poly (ADP-ribose) polymerase family, member 1; poly (ADP-ribose) polymerase); poly [ADP-ribose] polymerase 1; poly ADP-ribose polymerase; poly(ADP-ribose) polymerase; poly(ADP-ribose) polymerase 1; poly(ADP-ribose) polymerase PARP-1; poly(ADP-ribose) synthetase; poly(ADP-ribosyl)transferase; Poly[ADP-ribose] synthase 1; poly[ADP-ribose] synthetase 1; PPOL; Protein poly-ADP-ribosyltransferase PARP1; sPARP-1; synthetase fragment (AA 67); Unknown (protein for IMAGE:8023736); unnamed protein product |
| Show More |
Product Title
By clicking Submit, you acknowledge that you may be contacted by Fisher Scientific in regards to the feedback you have provided in this form. We will not share your information for any other purposes. All contact information provided shall also be maintained in accordance with our Privacy Policy.
Spot an opportunity for improvement?