missing translation for 'onlineSavingsMsg'
Learn More
Learn More
Invitrogen™ PC4 Polyclonal Antibody

Rabbit Polyclonal Antibody
Brand: Invitrogen™ PA5115982
This item is not returnable.
View return policy
Description
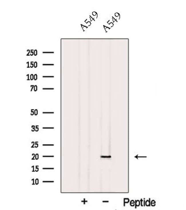
Antibody detects endogenous levels of total SUB1.
PC4 (activated RNA polymerase II transcription cofactor 4) is a transcriptional coactivator, possessing the ability to suppress promoter-driven as well as nonspecific transcription via its DNA binding activity. The repressive activity of PC4 on promoter-driven transcription is alleviated by transcription factor TFIIH. TFIIH protects promoters from PC4-mediated repression by relieving the topological constraint imposed by PC4 through the ERCC3 helicase activity.
Specifications
| PC4 | |
| Polyclonal | |
| Unconjugated | |
| Sub1 | |
| activated RNA polymerase II transcription cofactor 4; activated RNA polymerase II transcriptional coactivator p15; AI842364; hypothetical protein LOC553561; p14; P15; P9; Pc4; positive cofactor 4; pR-ET2 encoded oncodevelopmental protein; RNA polymerase II transcriptional coactivator; Rpo2tc1; Single-stranded DNA-binding protein p9; Sub1; SUB1 homolog; SUB1 homolog (S. cerevisiae); SUB1 homolog a; SUB1 homolog, transcriptional regulator; SUB1 homolog, transcriptional regulator a; SUB1 regulator of transcription; SUB1 regulator of transcription a; sub1a; TIS7; zgc:109973 | |
| Rabbit | |
| Affinity chromatography | |
| RUO | |
| 10923, 192269, 20024 | |
| -20°C | |
| Liquid |
| Western Blot | |
| 1 mg/mL | |
| PBS with 50% glycerol and 0.02% sodium azide | |
| P11031, P53999, Q63396 | |
| Sub1 | |
| A synthesized peptide derived from human SUB1(Accession P53999), corresponding to amino acid residues Q30-K80. | |
| 100 μL | |
| Primary | |
| Human, Mouse, Rat | |
| Antibody | |
| IgG |
Product Content Correction
Your input is important to us. Please complete this form to provide feedback related to the content on this product.
Product Title
Spot an opportunity for improvement?Share a Content Correction