missing translation for 'onlineSavingsMsg'
Learn More

PDE4A Monoclonal Antibody (OTI6D6), TrueMAB™, OriGene

Mouse Monoclonal Antibody

Brand:  Origene Technologies TA501203

Encompass_Preferred

 View more versions of this product

Product Code. 17553581

  • € 540.87 / 100µL

Please to purchase this item. Need a web account? Register with us today!

This item is not returnable. View return policy

Description

Description

Cyclic nucleotides are important second messengers that regulate and mediate a number of cellular responses to extracellular signals, such as hormones, light, and neurotransmitters. Cyclic nucleotide phosphodiesterases (PDEs) regulate the cellular concentrations of cyclic nucleotides and thereby play a role in signal transduction. PDE4A is a class IV cAMP-specific PDE.
Specifications

Specifications

PDE4A
Monoclonal
1 mg/mL
PBS with 1% BSA, 50% glycerol and 0.02% sodium azide
P27815
PDE4A
Full length human recombit protein of human PDE4A produced in HEK293T cell.
100 μL
Primary
Human
Antibody
IgG1
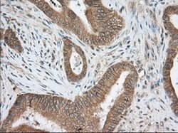
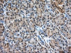
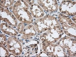
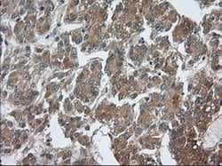
Flow Cytometry, Immunocytochemistry, Immunofluorescence, Immunohistochemistry (Paraffin), Western Blot
OTI6D6
Unconjugated
PDE4A
DPDE2, PDE4, PDE46
Mouse
Affinity Chromatography
RUO
5141
-20° C, Avoid Freeze/Thaw Cycles
Liquid
Product Suggestions

Product Suggestions

Videos
SDS
Documents

Documents

Certificates
Promotions

Promotions

Product Content Correction

The Fisher Scientific Encompass Program offers items which are not part of our distribution portfolio. These products typically do not have pictures or detailed descriptions. However, we are committed to improving your shopping experience. Please use the form below to provide feedback related to the content on this product.

Product Title

By clicking Submit, you acknowledge that you may be contacted by Fisher Scientific in regards to the feedback you have provided in this form. We will not share your information for any other purposes. All contact information provided shall also be maintained in accordance with our Privacy Policy.

Thank You! Your feedback has been submitted. Fisher Scientific is always working to improve our content for you. We appreciate your feedback.