missing translation for 'onlineSavingsMsg'
Learn More

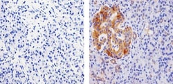
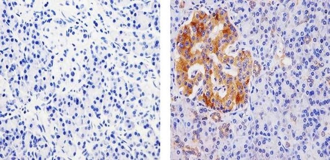
Invitrogen™ PDIA2 Recombinant Superclonal™ Antibody (7HCLC)

Rabbit Recombinant Superclonal Antibody

Brand:  Invitrogen™ 710081

Product Code. 15347174

  • € 493.00 / 100µg

Please to purchase this item. Need a web account? Register with us today!

This item is not returnable. View return policy

Description

Description

Recombinant rabbit Superclonal™ antibodies are unique offerings from Thermo Fisher Scientific. They are comprised of a selection of multiple different recombinant monoclonal antibodies, providing the best of both worlds - the sensitivity of polyclonal antibodies with the specificity of monoclonal antibodies - all delivered with the consistency only found in a recombinant antibody. While functionally the same as a polyclonal antibody - recognizing multiple epitope sites on the target and producing higher detection sensitivity for low abundance targets - a recombinant rabbit Superclonal™ antibody has a known mixture of light and heavy chains. The exact population can be produced in every lot, circumventing the biological variability typically associated with polyclonal antibody production. Note: Formerly called Recombinant polyclonal antibody, this product is now rebranded as Recombinant Superclonal™ antibody. The physical product and the performance remain unchanged.

Protein disulfide isomerases resident proteins that catalyze protein folding and thiol-disulfide interchange reactions.
TRUSTED_SUSTAINABILITY
Specifications

Specifications

PDIA2
Recombinant Superclonal
0.5 mg/mL
PBS with 0.09% sodium azide
Q13087
PDIA2
Recombinant Protein corresponding to amino acids 378-525 of human PDI (ER Marker).
100 μg
Primary
Human
Antibody
IgG
Immunohistochemistry (Paraffin), Western Blot
7HCLC
Unconjugated
PDIA2
1810041F13Rik; AI661267; GIT antibody; LA16c-314G4.2; Pancreas-specific protein disulfide isomerase; pancreatic protein disulfide isomerase; PDA2; PDI; Pdia2; Pdip; Pdipl; PDIR; protein disulfide isomerase (pancreas) like; protein disulfide isomerase A2; protein disulfide isomerase associated 2; protein disulfide isomerase family A member 2; protein disulfide isomerase family A, member 2; protein disulfide isomerase, pancreatic; protein disulfide isomerase-associated 2; protein disulfide-isomerase A2; Rho GDP dissociation inhibitor gamma
Rabbit
Protein A
RUO
64714
Store at 4°C short term. For long term storage, store at -20°C, avoiding freeze/thaw cycles.
Liquid
Product Suggestions

Product Suggestions

Videos
SDS
Documents

Documents

Certificates
Promotions

Promotions

Product Content Correction

Your input is important to us. Please complete this form to provide feedback related to the content on this product.

Product Title

By clicking Submit, you acknowledge that you may be contacted by Fisher Scientific in regards to the feedback you have provided in this form. We will not share your information for any other purposes. All contact information provided shall also be maintained in accordance with our Privacy Policy.

Thank You! Your feedback has been submitted. Fisher Scientific is always working to improve our content for you. We appreciate your feedback.