missing translation for 'onlineSavingsMsg'
Learn More
Learn More
Invitrogen™ PCK2 Polyclonal Antibody

Description
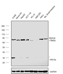
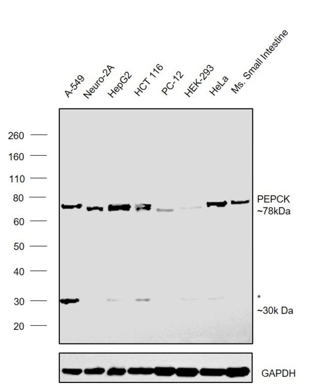
Recommended positive controls: HepG2, Neuro2A, GL261, PC-12. Predicted reactivity: Mouse (100%), Rat (100%), Pig (100%), Rhesus Monkey (100%), Bovine (100%). Store product as a concentrated solution. Centrifuge briefly prior to opening the vial.
This gene encodes a member of the phosphoenolpyruvate carboxykinase (GTP) family. The protein is a mitochondrial enzyme that catalyzes the conversion of oxaloacetate to phosphoenolpyruvate in the presence of GTP. A cytosolic form encoded by a different gene has also been characterized and is the key enzyme of gluconeogenesis in the liver. The encoded protein may serve a similar function, although it is constitutively expressed and not modulated by hormones such as glucagon and insulin that regulate the cytosolic form. Alternatively spliced transcript variants have been described.
Specifications
Specifications
| Antigen | PCK2 |
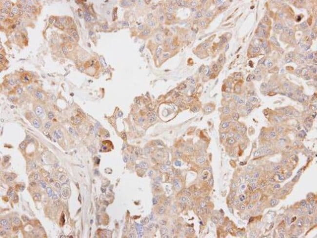
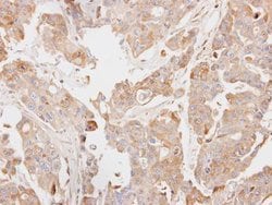
| Applications | Immunohistochemistry (Paraffin), Western Blot, Immunocytochemistry |
| Classification | Polyclonal |
| Concentration | 1 mg/mL |
| Conjugate | Unconjugated |
| Formulation | PBS with 40% glycerol and 0.01% thimerosal; pH 7 |
| Gene | PCK2 |
| Gene Accession No. | Q16822, Q8BH04 |
| Gene Alias | 1810010O14Rik; 9130022B02Rik; HGNC:8725; PCK2; PEP carboxykinase; PEPCK; PEPCK2; PEPCK-M; Phosphoenolpyruvate carboxykinase [GTP], mitochondrial; phosphoenolpyruvate carboxykinase 2 (mitochondrial); phosphoenolpyruvate carboxykinase 2, mitochondrial; phosphoenolpyruvate carboxylase; phosphopyruvate carboxylase |
| Gene Symbols | PCK2 |
| Show More |
Product Title
By clicking Submit, you acknowledge that you may be contacted by Fisher Scientific in regards to the feedback you have provided in this form. We will not share your information for any other purposes. All contact information provided shall also be maintained in accordance with our Privacy Policy.
Spot an opportunity for improvement?