missing translation for 'onlineSavingsMsg'
Learn More
Learn More
Description
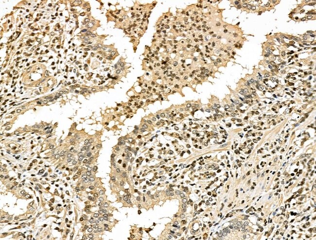
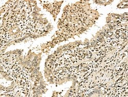
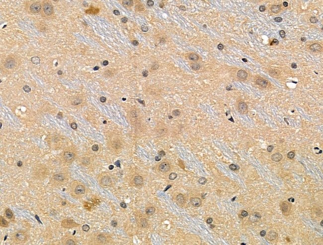
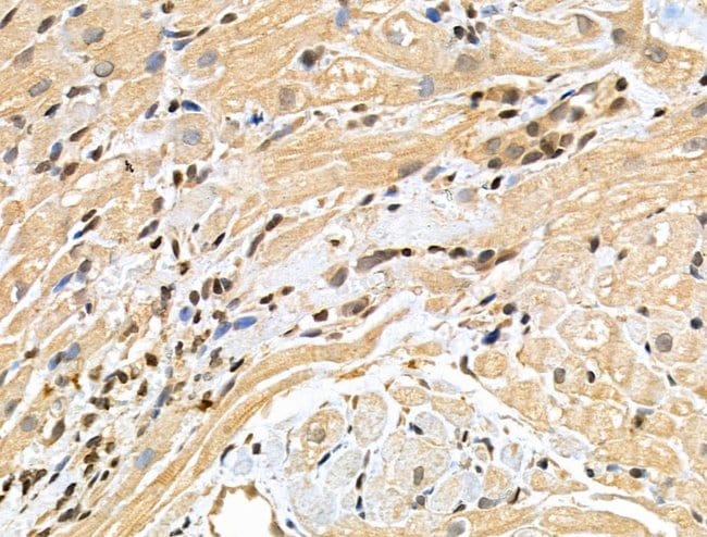
Antibody detects endogenous levels of 53BP1 only when phosphorylated at Ser25/29.
53BP1 (P53-binding protein 1) plays a critical role in tumor suppression and is a putative substrate of ATM kinase. Upon DNA damage, 53BP1 is phosphorylated and localizes to the presumptive sites of damage, specifically, double-strand breaks. 53BP1 may have a role in checkpoint signaling during mitosis, enhances TP53-mediated transcriptional activation, and participates in DNA repair by maintaining genomic stability.
Specifications
Specifications
| Antigen | Phospho-53BP1 (Ser25, Ser29) |
| Applications | Immunohistochemistry (Paraffin), Western Blot |
| Classification | Polyclonal |
| Concentration | 1 mg/mL |
| Conjugate | Unconjugated |
| Formulation | PBS with 50% glycerol and 0.02% sodium azide |
| Gene | TP53BP1 |
| Gene Accession No. | P70399, Q12888 |
| Gene Alias | 53BP1; FLJ41424; m53BP1; MGC138366; murine p53-binding protein; p202; p53-binding protein 1; p53BP1; TDRD30; TP53; TP53-binding protein 1; Tp53bp1; transformation related protein 53 binding protein 1; transformation related protein 53 binding-protein 1; Trp53bp1; tumor protein 53-binding protein, 1; tumor protein p53 binding protein 1; tumor protein p53-binding protein, 1; tumor suppressor p53-binding protein 1 |
| Gene Symbols | TP53BP1, Trp53bp1 |
| Show More |
Product Title
By clicking Submit, you acknowledge that you may be contacted by Fisher Scientific in regards to the feedback you have provided in this form. We will not share your information for any other purposes. All contact information provided shall also be maintained in accordance with our Privacy Policy.
Spot an opportunity for improvement?
