missing translation for 'onlineSavingsMsg'
Learn More

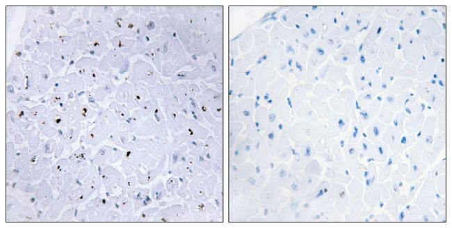
Phospho-53BP1 (Ser6) Polyclonal Antibody, Invitrogen™

Product Code. 15565321
Change view
Click to view available options
Quantity:
100 μg
Unit Size:
100µg
1 product options available for selection
Product selection table with 1 available options. Use arrow keys to navigate and Enter or Space to select.
Product Code. Quantity unitSize
15565321 100 μg 100µg
Use arrow keys to navigate between rows. Press Enter or Space to select a product option. 1 options available.
1 options
This item is not returnable. View return policy
Product Code. 15565321 Supplier Invitrogen Supplier No. PA538399

Please to purchase this item. Need a web account? Register with us today!

This item is not returnable. View return policy

Rabbit Polyclonal Antibody

53BP1 (P53-binding protein 1) plays a critical role in tumor suppression and is a putative substrate of ATM kinase. Upon DNA damage, 53BP1 is phosphorylated and localizes to the presumptive sites of damage, specifically, double-strand breaks. 53BP1 may have a role in checkpoint signaling during mitosis, enhances TP53-mediated transcriptional activation, and participates in DNA repair by maintaining genomic stability.
TRUSTED_SUSTAINABILITY

Specifications

Antigen Phospho-53BP1 (Ser6)
Applications Immunohistochemistry (Paraffin), Western Blot
Classification Polyclonal
Concentration 1 mg/mL
Conjugate Unconjugated
Formulation Dulbecco′s PBS with 150mM NaCl, 50% glycerol and 0.02% sodium azide; pH 7.4
Gene TP53BP1
Gene Accession No. Q12888, P70399
Gene Alias p202, p53-binding protein 1, tumor protein 53-binding protein, tumor suppressor p53-binding protein 1
Gene Symbols TP53BP1, Trp53bp1
Host Species Rabbit
Immunogen A synthetic phosphopeptide derived from human 53BP1 around the phosphorylation site of Ser6 (T-G-SP-Q-L)
Purification Method Antigen affinity chromatography
Quantity 100 μg
Regulatory Status RUO
Primary or Secondary Primary
Gene ID (Entrez) 27223, 296099, 7158
Target Species Human, Mouse, Non-human Primate, Rat
Content And Storage -20°C
Product Type Antibody
Form Liquid
Isotype IgG
Show More Show Less
Product Title
Select an issue

By clicking Submit, you acknowledge that you may be contacted by Fisher Scientific in regards to the feedback you have provided in this form. We will not share your information for any other purposes. All contact information provided shall also be maintained in accordance with our Privacy Policy.