missing translation for 'onlineSavingsMsg'
Learn More
Learn More
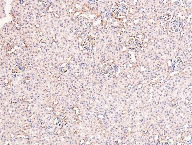
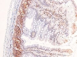
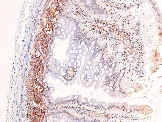
Invitrogen™ Phospho-Androgen Receptor (Tyr269) Polyclonal Antibody

Rabbit Polyclonal Antibody
Brand: Invitrogen™ PA5105946
This item is not returnable.
View return policy
Description
Antibody detects endogenous levels of Androgen Receptor only when phosphorylated at Tyr269.
The androgen receptor (AR) is a member of the steroid-hormone receptor superfamily of nuclear receptors. The receptor is more than 90 kDa and has three major functional domains: the N-terminal domain, DNA-binding domain, and the androgen-binding domain. The androgen receptor is a ligand-activated transcription factor that binds active testosterone (T) and dihydrotestosterone (DHT). Upon binding the hormone ligand, the receptor dissociates from accessory proteins, translocates into the nucleus, dimerizes, and then stimulates transcription of androgen responsive genes. The AR signaling pathway plays a key role in development and function of male reproductive organs, including the prostate and epididymis.AR also plays a role in nonreproductive organs, such as muscle, hair follicles, and brain.Androgen Receptor is a phosphoprotein, and also regulates mitogen-activated protein kinase (MAP kinase). The inhibition of the MEK1/2 pathway correlates directly with a change in phosphorylation state of the androgen receptor. Abnormalities in the AR signaling pathway have been linked to a number of diseases, including prostate cancer, Kennedy's disease, and male infertility. Mutations in this gene are associated with complete androgen insensitivity (CAIS).
Specifications
| Phospho-Androgen Receptor (Tyr269) | |
| Polyclonal | |
| Unconjugated | |
| AR | |
| AIS; Andr; androgen nuclear receptor variant 2; androgen receptor; androgen receptor (Testicular feminization), same as Tfm; androgen receptor splice variant 4b; Ar; AR8; AR-A; AW320017; DHTR; dihydrotestosterone receptor; HUMARA; HYSP1; KD; NR3C4; Nuclear receptor subfamily 3 group C member 4; RP11-383C12.1; SBMA; SMAX1; TFM; Variant AR45 | |
| Rabbit | |
| sequential chromatography | |
| RUO | |
| 11835, 24208, 367 | |
| -20°C | |
| Liquid |
| Immunohistochemistry (Paraffin), Western Blot | |
| 1 mg/mL | |
| PBS with 50% glycerol and 0.02% sodium azide; pH 7.4 | |
| P10275, P15207, P19091 | |
| AR | |
| A synthesized peptide derived from human AR(Accession P10275), corresponding to amino acid residues around phosphorylated Tyr269. | |
| 100 μL | |
| Primary | |
| Human, Mouse, Rat, Monkey | |
| Antibody | |
| IgG |
Product Content Correction
Your input is important to us. Please complete this form to provide feedback related to the content on this product.
Product Title
Spot an opportunity for improvement?Share a Content Correction