missing translation for 'onlineSavingsMsg'
Learn More
Learn More
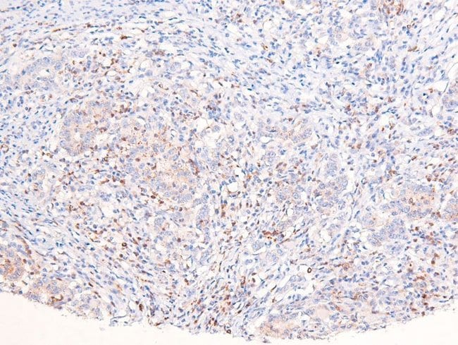
Invitrogen™ Phospho-ANKRD28 (Ser1007) Polyclonal Antibody

Rabbit Polyclonal Antibody
Brand: Invitrogen™ PA5105964
This item is not returnable.
View return policy
Description
Antibody detects endogenous levels of ANKRD28 only when phosphorylated at Ser1007.
Putative regulatory subunit of protein phosphatase 6 (PP6) that may be involved in the recognition of phosphoprotein substrates. Involved in the PP6-mediated dephosphorylation of NFKBIE opposing its degradation in response to TNF-alpha. Selectively inhibits the phosphatase activity of PPP1C. Targets PPP1C to modulate HNRPK phosphorylation. ANKRD28 selectively regulated phosphorylation of hnRNP-K at ser284, an effect that was enhanced in vivo by an S1013A/S1017A double mutant, suggesting that ANKRD28 targets PP1 in a regulated manner to dephosphorylate hnRNP-K selectively at ser284.
Specifications
| Phospho-ANKRD28 (Ser1007) | |
| Polyclonal | |
| Unconjugated | |
| ANKRD28 | |
| AI465466; AI604979; ANKRD28; ankyrin repeat domain 28; ankyrin repeat domain-containing protein 28; E430019N21Rik; KIAA0379; mKIAA0379; phosphatase interactor targeting K protein; phosphatase interactor targeting protein hnRNP K; PITK; PP6-ARS-A; PPP1R65; protein phosphatase 1, regulatory subunit 65; protein phosphatase 6 ankyrin repeat subunit A; RGD1559931; serine/threonine-protein phosphatase 6 regulatory ankyrin repeat subunit A; serine/threonine-protein phosphatase 6 regulatory subunit ARS-A | |
| Rabbit | |
| Sequential Chromatography | |
| RUO | |
| 105522, 23243 | |
| -20°C | |
| Liquid |
| Immunohistochemistry (Paraffin), Western Blot | |
| 1 mg/mL | |
| PBS with 50% glycerol and 0.02% sodium azide; pH 7.4 | |
| O15084, Q505D1 | |
| ANKRD28 | |
| A synthesized peptide derived from human ANKRD28(Accession O15084), corresponding to amino acid residues around phosphorylated Ser1007. | |
| 100 μL | |
| Primary | |
| Human, Mouse | |
| Antibody | |
| IgG |
Product Content Correction
Your input is important to us. Please complete this form to provide feedback related to the content on this product.
Product Title
Spot an opportunity for improvement?Share a Content Correction