missing translation for 'onlineSavingsMsg'
Learn More
Learn More
Invitrogen™ Phospho-CD19 (Tyr500) Polyclonal Antibody

Rabbit Polyclonal Antibody
Brand: Invitrogen™ PA5118772
This item is not returnable.
View return policy
Description
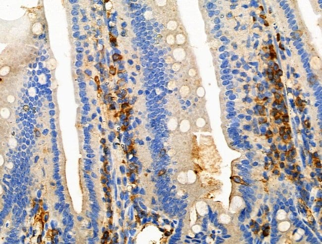
Antibody detects endogenous levels of CD19 only when phosphorylated at Tyr500.
CD19 is a member of the immunoglobulin superfamily, characterized by two Ig-like domains, and is expressed on B cells throughout all stages of development, excluding terminally differentiated plasma cells. It is also expressed on follicular dendritic cells and has been observed on myeloid leukemia cells, particularly those of monocytic lineage. CD19 is considered the earliest and broadest B cell-restricted antigen, and its expression is found in all B cell precursor leukemias. CD19 forms a multimolecular complex with CD21, CD81, Leu13, MHC class II, and the B cell receptor (BCR), playing a crucial role in B cell signaling. As a signal-amplifying coreceptor for the BCR, CD19 lowers the threshold for antigen receptor-dependent stimulation, allowing B cells to respond specifically and sensitively to various antigens through low-affinity antigen receptors. Signaling through CD19 induces tyrosine phosphorylation, calcium flux, and proliferation of B cells. Beyond its role as a BCR coreceptor, CD19 can also signal independently of BCR co-ligation, serving as a central regulatory component upon which multiple signaling pathways converge. This makes CD19 an important functional regulator of both normal and malignant B cell proliferation. Mutations in the CD19 gene can result in hypogammaglobulinemia, a condition characterized by low levels of immunoglobulins, while CD19 overexpression can lead to B cell hyperactivity. CD19 is expressed on 100% of peripheral B cells, as defined by the expression of kappa or lambda light chains, underscoring its significance in B cell function and immune regulation.
Specifications
| Phospho-CD19 (Tyr500) | |
| Polyclonal | |
| Unconjugated | |
| Cd19 | |
| AW495831; B4; B-lymphocyte antigen CD19; B-lymphocyte surface antigen B4; Cd19; CD19 antigen; CD19 molecule; CVID3; differentiation antigen CD19; Leu-12; T-cell surface antigen Leu-12 | |
| Rabbit | |
| Sequential chromatography | |
| RUO | |
| 12478, 930 | |
| -20°C | |
| Liquid |
| Immunohistochemistry (Paraffin), Western Blot, Immunocytochemistry | |
| 1 mg/mL | |
| PBS with 50% glycerol and 0.02% sodium azide; pH 7.4 | |
| P15391, P25918 | |
| Cd19 | |
| A synthesized peptide derived from human CD19(Accession P15391), corresponding to amino acid residues around phosphorylated Tyr500. | |
| 100 μL | |
| Primary | |
| Human, Mouse | |
| Antibody | |
| IgG |
Product Content Correction
Your input is important to us. Please complete this form to provide feedback related to the content on this product.
Product Title
Spot an opportunity for improvement?Share a Content Correction