missing translation for 'onlineSavingsMsg'
Learn More

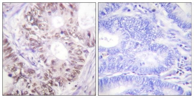
Phospho-Cdc25C (Thr48) Polyclonal Antibody, Invitrogen™

Rabbit Polyclonal Antibody

Brand:  Invitrogen PA538358

Product Code. 15555281

  • € 485.00 / 100µg

Please to purchase this item. Need a web account? Register with us today!

This item is not returnable. View return policy

Description

Description

Cyclin-dependent kinases are positively regulated by association with cyclins and negatively regulated by binding to inhibitory subunits. The activity of cyclin-dependent kinases is also regulated by the phosphorylation status, which is controlled by the antagonistic action of Wee1 kinase and CDC25 phosphatases. Three CDC25 genes are present in human cells: CDC25A, CDC25B, and CDC25C. These three genes function at different phases of the cell cycle. Whereas CDC25A and CDC25B are expressed throughout the cell cycle, with peak expression in G1 for CDC25A and in both G1-S-phase and G2 for CDC25B, CDC25C is predomitly expressed in G2.
TRUSTED_SUSTAINABILITY
Specifications

Specifications

Phospho-Cdc25C (Thr48)
Polyclonal
Unconjugated
CDC25C
CDC25M1, Dual specificity phosphatase Cdc25C, EC 3.1.3.48, M-phase inducer phosphatase 3, MPIP3
Rabbit
Antigen affinity chromatography
RUO
12532, 995
-20°C
Liquid
Immunohistochemistry (Paraffin), Western Blot
1 mg/mL
Dulbecco′s PBS with 150mM NaCl, 50% glycerol and 0.02% sodium azide; pH 7.4
P30307, P48967
CDC25C
A synthetic phosphopeptide derived from human CDC25C around the phosphorylation site of Thr48 (P-R-TP-P-V)
100 μg
Primary
Human, Mouse
Antibody
IgG
Product Suggestions

Product Suggestions

Videos
SDS
Documents

Documents

Certificates
Promotions

Promotions

Product Content Correction

Your input is important to us. Please complete this form to provide feedback related to the content on this product.

Product Title

By clicking Submit, you acknowledge that you may be contacted by Fisher Scientific in regards to the feedback you have provided in this form. We will not share your information for any other purposes. All contact information provided shall also be maintained in accordance with our Privacy Policy.

Thank You! Your feedback has been submitted. Fisher Scientific is always working to improve our content for you. We appreciate your feedback.