missing translation for 'onlineSavingsMsg'
Learn More
Learn More
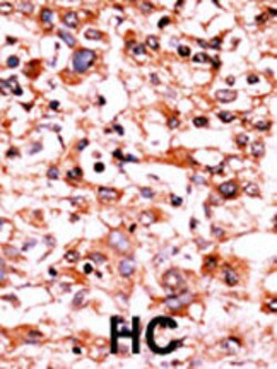
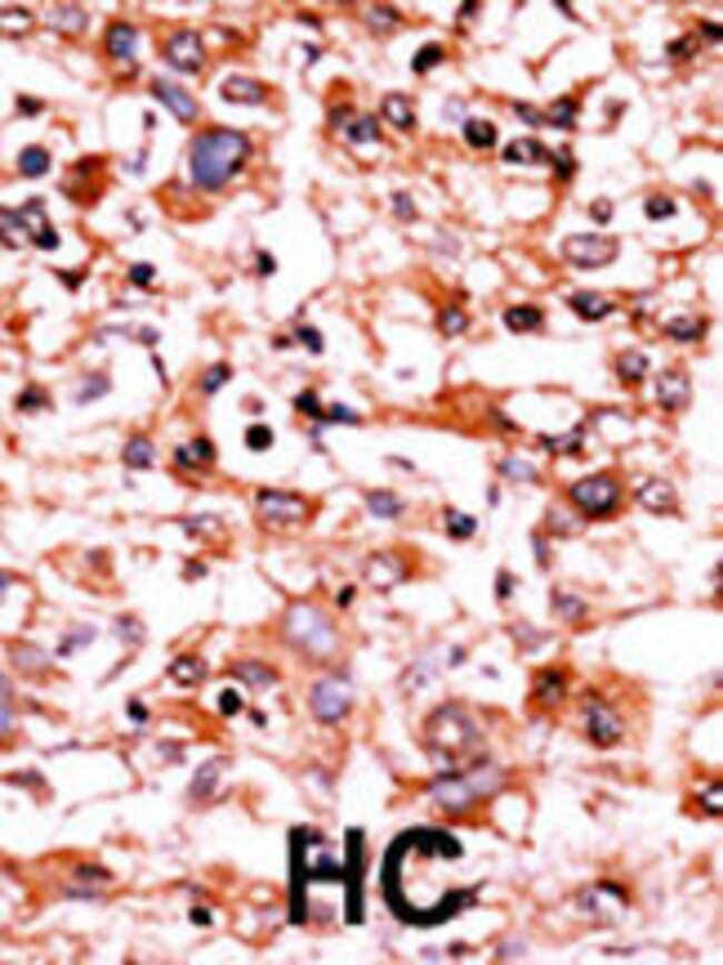
Invitrogen™ Phospho-CDK1 (Ser39) Polyclonal Antibody

Description
This antibody is predicted to react with bovine, chicken, mouse and rat based on sequence homology.
CDK1 or Cell Division Control protein 1 is essential for the completion of START, the controlling event in the cell cycle that is required to initiate mitosis. CDK1 is a catalytic subunit of a protein kinase complex, called the M-Phase Promoting Factor that induces entry into mitosis and is universal among eukaryotes. Phosphorylation of Bcl-2 in G2/M phase-arrested cells following photodynamic therapy with hypericin involves a CDK1-mediated signal and delays the onset of apoptosis. Therapeutic potential of CDK inhibitor NU2058 in androgen-independent prostate cancer has also been demonstrated.
Specifications
Specifications
| Antigen | Phospho-CDK1 (Ser39) |
| Applications | Dot Blot, Immunohistochemistry (Paraffin), Western Blot |
| Classification | Polyclonal |
| Concentration | 0.5 mg/mL |
| Conjugate | Unconjugated |
| Formulation | PBS with 0.09% sodium azide; pH 7.4 |
| Gene | CDK1 |
| Gene Accession No. | P06493 |
| Gene Alias | 5363; ABL1; cdc; CDC2; cdc-2; cdc2 kinase; CDC28A; Cdc2a; cdc2-a; cdc2Dm; cdc2x1.1; CDCDm; CDK1; Cdk-1; cdk1.S; CDK1/CDC2; CDK1-A; cdk1-b; Cdk1-PA; CDKN1; cell cycle controller CDC2; cell cycle p34 CDC2 kinase protein; cell division control; cell division control protein 2 homolog; Cell division control protein 2 homolog 1; cell division control protein 2-A; cell division cycle 2 homolog A; cell division cycle 2 like; cell division cycle 2, G1 to S and G2 to M; Cell division cycle control protein 2; cell division cycle control protein 2a; cell division protein kinase 1; Cell division protein kinase 1-A; CG5363; CG5363-PA; cyclin dependent kinase; cyclin dependent kinase 1; cyclin-dependent kinase; Cyclin-dependent kinase 1; cyclin-dependent kinase 1 S homeolog; cyclin-dependent kinase 1-A; D2366; Dcdc2; dCdk1; DKFZp686L20222; Dm cdc2; Dmcdc2; DmCdk1; Dmel\CG5363; Dmel_CG5363; DNA polymerase delta catalytic subunit; DNA polymerase III; DNA-directed DNA polymerase delta POL3; group 4; HPR6; KCIP-1; l(2)31Eh; LD38718p; maturation-promoting factor; MGC111195; MGC53829; MPF; OTTHUMP00000019660; P34 CDK1; P34 MGC111195; p34 protein kinase; p34 protein kinase 1; p34>CDC2>; p34cdc2; p34-cdc2 homologue; POL3; Protein 1054; protein 2; PSTAIR; TEX1; unnamed protein product; xcdc2; XELAEV_18036802mg; YDL102W |
| Gene Symbols | CDK1 |
| Show More |
Product Title
By clicking Submit, you acknowledge that you may be contacted by Fisher Scientific in regards to the feedback you have provided in this form. We will not share your information for any other purposes. All contact information provided shall also be maintained in accordance with our Privacy Policy.
Spot an opportunity for improvement?