missing translation for 'onlineSavingsMsg'
Learn More
Learn More
Invitrogen™ Phospho-CNOT2 (Ser101) Polyclonal Antibody

Rabbit Polyclonal Antibody
Brand: Invitrogen™ PA537668
This item is not returnable.
View return policy
Description
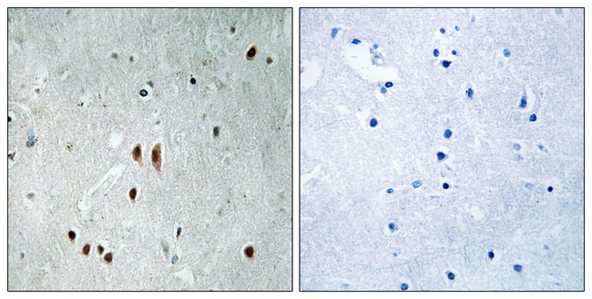
A suggested positive control for IHC is human brain tissue.
CCR4-NOT Transcription Complex 2 (CNOT2) is a component of the CCR4-NOT complex which is one of the major cellular mRNA deadenylases and is linked to various cellular processes including bulk mRNA degradation, miRNA-mediated repression, translational repression during translational initiation and general transcription regulation. Additional complex functions may be a consequence of its influence on mRNA expression. CNOT2 is required for the CCR4-NOT complex structural integrity. It can repress transcription and may link the CCR4-NOT complex to transcriptional regulation; the repressive function may specifically involve the N-Cor repressor complex containing HDAC3, NCOR1 and NCOR2. CNOT2 is involved in the maintenance of embryonic stem (ES) cell identity. (UniProt).
Specifications
| Phospho-CNOT2 (Ser101) | |
| Polyclonal | |
| Unconjugated | |
| Cnot2 | |
| 2600016M12Rik; 2810470K03Rik; AA537049; AA959607; AW557563; C79650; CCR4-associated factor 2; CCR4-NOT transcription complex subunit 2; CCR4-NOT transcription complex, subunit 2; CDC36; CNOT2; HSPC131; MSTP046; negative regulator of transcription 2; NOT2; NOT2H | |
| Rabbit | |
| Antigen affinity chromatography | |
| RUO | |
| 299805, 4848, 72068 | |
| -20°C | |
| Liquid |
| Immunohistochemistry (Paraffin) | |
| 1 mg/mL | |
| PBS with 50% glycerol and 0.02% sodium azide; pH 7.4 | |
| Q8C5L3, Q9NZN8 | |
| Cnot2 | |
| Peptide sequence around phosphorylation site of Serine101(S-L-S(p)-Q-G) derived from Human CNOT2. | |
| 100 μL | |
| Primary | |
| Human, Mouse, Rat | |
| Antibody | |
| IgG |
Product Content Correction
Your input is important to us. Please complete this form to provide feedback related to the content on this product.
Product Title
Spot an opportunity for improvement?Share a Content Correction