missing translation for 'onlineSavingsMsg'
Learn More
Learn More
Invitrogen™ Phospho-DOK1 (Tyr398) Polyclonal Antibody
Description
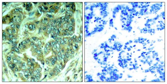
A suggested positive control for Western blot is K562 cells; suggested positive control for IHC is human breast carcinoma.
DOK1 (P62dok, Docking protein 1) is believed to be a mainly cytoplasmic adaptor protein which down-regulates mitogen-activated protein kinase activation, inhibits cell proliferation and transformation, and promotes cell spreading and cell migration. DOK1 is a major substrate for many tyrosine kinases including c-kit, v-abl, vFPS, EGF, and PDGF. Upon phosphorylation by kinases, DOK1 forms a complex with ras GTPase-activating protein. Phosphorylation on tyrosine residues by the insulin receptor kinase results in the negative regulation of the insulin signaling pathway. DOK1 contains a putative pleckstrin homology domain at the amino terminus and ten PXXP SH3 recognition motifs.
Specifications
Specifications
| Antigen | Phospho-DOK1 (Tyr398) |
| Applications | Immunohistochemistry (Paraffin), Western Blot |
| Classification | Polyclonal |
| Concentration | 1 mg/mL |
| Conjugate | Unconjugated |
| Formulation | PBS with 50% glycerol and 0.02% sodium azide; pH 7.4 |
| Gene | DOK1 |
| Gene Accession No. | Q99704 |
| Gene Alias | AW557123; Docking protein 1; docking protein 1, 62kDa (downstream of tyrosine kinase 1); Dok; DOK 1; DOK1; Dok-1; Downstream of tyrosine kinase 1; downstream of tyrosine kinase-1; MGC117395; MGC138860; p240; p62 dok; p62(dok); p62DOK; pp62; TLP1; TP1; TROVE domain family; TROVE1; VAULT2 |
| Gene Symbols | DOK1 |
| Show More |
Product Title
By clicking Submit, you acknowledge that you may be contacted by Fisher Scientific in regards to the feedback you have provided in this form. We will not share your information for any other purposes. All contact information provided shall also be maintained in accordance with our Privacy Policy.
Spot an opportunity for improvement?