missing translation for 'onlineSavingsMsg'
Learn More
Learn More
Invitrogen™ Phospho-FER (Tyr497) Polyclonal Antibody

Rabbit Polyclonal Antibody
Brand: Invitrogen™ PA5105506
This item is not returnable.
View return policy
Description
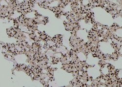
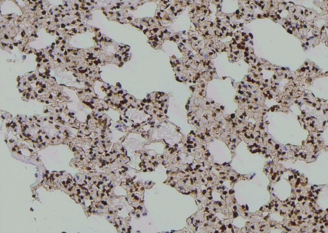
Antibody detects endogenous levels of FER only when phosphorylated at Tyr497.
FER is a member of the FPS/FES family of non-receptor tyrosine kinases. It regulates cell-cell adhesion and mediates signaling from the cell surface to the cytoskeleton via growth factor receptors. FER is found in the cytoplasm and in the nucleus, where it was associated with the chromatin fraction. Its ubiquitous expression and its subcellular location indicate that it may be involved in key regulatory processes. The group IV cytoplasmic protein-tyrosine kinase Fer has been linked to cellular signaling responses to many different stimuli, including growth factors and cytokines. Data suggest a biological role for Fer in regulation of leukocyte recruitment during the innate immune response.
Specifications
| Phospho-FER (Tyr497) | |
| Polyclonal | |
| Unconjugated | |
| FER | |
| AV082135; C330004K01Rik; c-FER; EC 2.7.10.2; Feline encephalitis virus-related kinase FER; FER; fer (fms/fps related) protein kinase; fer (fms/fps related) protein kinase, testis specific 2; fer (fps/fes related) tyrosine kinase; FER tyrosine kinase; Fert; Fert2; Flk; Flk_retired; Fujinami poultry sarcoma/Feline sarcoma-related protein Fer; p47; p94-Fer; phosphoprotein NCP94; PPP1R74; protein phosphatase 1, regulatory subunit 74; proto-oncogene c-Fer; proto-oncogene tyrosine-protein kinase Fer; TYK3; Tyrosine kinase 3; tyrosine protein kinase FLK; tyrosine-protein kinase Fer; Tyrosine-protein kinase FLK | |
| Rabbit | |
| Sequential Chromatography | |
| RUO | |
| 14158, 2241, 301737 | |
| -20°C | |
| Liquid |
| Immunohistochemistry (Paraffin), Western Blot, Immunocytochemistry | |
| 1 mg/mL | |
| PBS with 50% glycerol and 0.02% sodium azide; pH 7.4 | |
| P09760, P16591, P70451 | |
| FER | |
| A synthesized peptide derived from human FER(Accession P16591), corresponding to amino acid residues around phosphorylated Tyr497. | |
| 100 μL | |
| Primary | |
| Human, Mouse, Rat | |
| Antibody | |
| IgG |
Product Content Correction
Your input is important to us. Please complete this form to provide feedback related to the content on this product.
Product Title
Spot an opportunity for improvement?Share a Content Correction