missing translation for 'onlineSavingsMsg'
Learn More

Invitrogen™ Phospho-GAB2 (Ser623) Polyclonal Antibody

Rabbit Polyclonal Antibody

Brand:  Invitrogen™ PA537777

Product Code. 15584711

  • € 520.00 / 100µL

Please to purchase this item. Need a web account? Register with us today!

This item is not returnable. View return policy

Description

Description

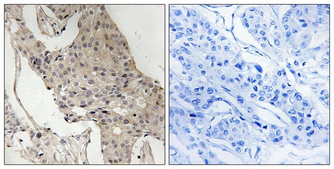
A suggested positive control for Western blot is 293 or Hela cells; suggested positive control for IHC is human breast carcinoma.

This gene is a member of the GRB2-associated binding protein (GAB) gene family. These proteins contain pleckstrin homology (PH) domain, and bind SHP2 tyrosine phosphatase and GRB2 adapter protein. They act as adapters for transmitting various signals in response to stimuli through cytokine and growth factor receptors, and T- and B-cell antigen receptors. The protein encoded by this gene is the principal activator of phosphatidylinositol-3 kinase in response to activation of the high affinity IgE receptor. Two alternatively spliced transcripts encoding different isoforms have been described for this gene.
TRUSTED_SUSTAINABILITY
Specifications

Specifications

Phospho-GAB2 (Ser623)
Polyclonal
Unconjugated
GAB2
AI463667; D130058I17Rik; GAB2; Grb2 associated binder 2; GRB2 associated binding protein 2; GRB2-associated binder 2; GRB2-associated binding protein 2; GRB2-associated-binding protein 2; GRB3-3; Growth factor receptor bound protein 2-associated protein 2; KIAA0571; p97; PH domain-containing adaptor molecule p97; pp100
Rabbit
Antigen affinity chromatography
RUO
14389, 9846
-20°C
Liquid
Immunohistochemistry (Paraffin), Western Blot
1 mg/mL
PBS with 50% glycerol and 0.02% sodium azide; pH 7.4
Q9UQC2, Q9Z1S8
GAB2
Peptide sequence around phosphorylation site of Serine 623(P-S-S(p)-P-S) derived from Human Gab2.
100 μL
Primary
Human, Mouse
Antibody
IgG
Product Suggestions

Product Suggestions

Videos
SDS
Documents

Documents

Certificates
Promotions

Promotions

Product Content Correction

Your input is important to us. Please complete this form to provide feedback related to the content on this product.

Product Title

By clicking Submit, you acknowledge that you may be contacted by Fisher Scientific in regards to the feedback you have provided in this form. We will not share your information for any other purposes. All contact information provided shall also be maintained in accordance with our Privacy Policy.

Thank You! Your feedback has been submitted. Fisher Scientific is always working to improve our content for you. We appreciate your feedback.