missing translation for 'onlineSavingsMsg'
Learn More
Learn More
Invitrogen™ Phospho-iNOS (Tyr151) Polyclonal Antibody

Rabbit Polyclonal Antibody
Brand: Invitrogen™ PA537666
This item is not returnable.
View return policy
Description
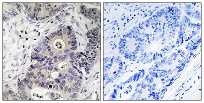
A suggested positive control for IHC is human colon carcinoma.
iNOS (Inducible Nitric oxide, NO, NOS) is an inorganic, gaseous free radical that carries a variety of messages between cells. Vasorelaxation, neurotransmission and cytotoxicity can all be potentiated through cellular response to NO. NO production is mediated by members of the nitric oxide synthase (NOS) family. iNOS is expressed in liver and inducible by a combination of lipopolysaccharide and certain cytokines. NOS catalyzes the oxidization of L-arginine to produce L-citrulline and NO. Two constitutive isoforms, brain or neuronal NOS (b or nNOS, type I) and endothelial cell NOS (eNOS, type III), and one inducible isoform (iNOS, type II), have been cloned. All NOS isoforms contain calmodulin, nicotinamide adenine dinucleotide phosphate (NADPH), flavin adenine dinucleotide (FAD), and flavin mononucleotide (FMN) binding domains. iNOS is found in a variety of cell types including macrophages, hepatocytes, synoviocytes, and smooth muscle cells. Cytokines such as interferon-gamma (IFN), tumor necrosis factor (TNF), interleukin-1 and -2, and lipopolysaccarides (LPS) cause an increase in iNOS mRNA, protein, and activity levels. Protein kinase C-stimulating agents exhibit the same effect on iNOS activity. After cytokine induction, iNOS exhibits a delayed activity response which is then followed by a significant increase in NO production over a long period of time. Three related iNOS pseudogenes are located within the Smith-Magenis syndrome region on chromosome 17. Diseases associated with iNOS dysfunction include achalasia and impotence.
Specifications
| Phospho-iNOS (Tyr151) | |
| Polyclonal | |
| Unconjugated | |
| Nos2 | |
| Hepatocyte NOS; hepatocytes; HEP-NOS; inducible nitric oxide synthase; inducible NO synthase; Inducible NOS; iNos; i-NOS; Inosl; MAC-NOS; macrophage NOS; nitric oxide synthase 2; nitric oxide synthase 2, inducible; nitric oxide synthase 2, inducible, macrophage; nitric oxide synthase 2A (inducible, hepatocytes); nitric oxide synthase, inducible; nitric oxide synthase, macrophage; nitric oxide synthase-inducible; NOS; NOS type II; NOS, type II; Nos2; Nos-2; Nos2a; NOS-II; OTTMUSP00000000202; peptidyl-cysteine S-nitrosylase NOS2 | |
| Rabbit | |
| Antigen affinity chromatography | |
| RUO | |
| 4843 | |
| -20°C | |
| Liquid |
| Immunohistochemistry (Paraffin) | |
| 1 mg/mL | |
| PBS with 50% glycerol and 0.02% sodium azide; pH 7.4 | |
| P35228 | |
| Nos2 | |
| Peptide sequence around phosphorylation site of tyrosine 151(Q-Y-Y(p)-G-S) derived from Human iNOS. | |
| 100 μL | |
| Primary | |
| Human | |
| Antibody | |
| IgG |
Product Content Correction
Your input is important to us. Please complete this form to provide feedback related to the content on this product.
Product Title
Spot an opportunity for improvement?Share a Content Correction