missing translation for 'onlineSavingsMsg'
Learn More
Learn More
Invitrogen™ Phospho-IRAK1 (Ser376) Polyclonal Antibody

Rabbit Polyclonal Antibody
Brand: Invitrogen™ PA537611
This item is not returnable.
View return policy
Description
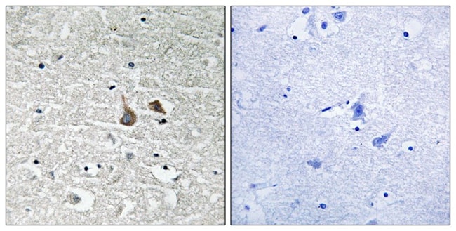
A suggested positive control for IHC is human brain tissue.
IL-1 receptor associated kinases (IRAKs) are serine/threonine kinases involved in signaling via Toll/IL-1 pathways. It is rapidly recruited by MYD88 to the receptor-signaling complex upon TLR activation. IRAK's association with MYD88 leads to IRAK1 phosphorylation by IRAK4 and subsequent autophosphorylation and kinase activation. Alternatively, IRAK1 can phosphorylate TIRAP to promote its ubiquitination and subsequent degradation. IRAK1 also phosphorylates the interferon regulatory factor 7 (IRF7) to induce its activation and translocation to the nucleus. This results in the transcriptional activiation of type I IFN genes, which drive the cell in an antiviral state.
Specifications
| Phospho-IRAK1 (Ser376) | |
| Polyclonal | |
| Unconjugated | |
| Irak1 | |
| AA408924; Il1rak; interleukin 1 receptor associated kinase 1; interleukin-1 receptor-associated kinase 1; interleukin-1 receptor-associated kinase-1; IRAK; Irak1; IRAK-1; IRAK1-S; mPLK; pelle; Pelle homolog; pelle-like protein kinase; Plpk; RGD1563841 | |
| Rabbit | |
| Antigen affinity chromatography | |
| RUO | |
| 3654 | |
| -20°C | |
| Liquid |
| Immunohistochemistry (Paraffin) | |
| 1 mg/mL | |
| PBS with 50% glycerol and 0.02% sodium azide; pH 7.4 | |
| P51617 | |
| Irak1 | |
| Peptide sequence around phosphorylation site of Serine 376(Q-S-S(p)-M-V) derived from Human IRAK1. | |
| 100 μL | |
| Primary | |
| Human | |
| Antibody | |
| IgG |
Product Content Correction
Your input is important to us. Please complete this form to provide feedback related to the content on this product.
Product Title
Spot an opportunity for improvement?Share a Content Correction