missing translation for 'onlineSavingsMsg'
Learn More

Phospho-Lamin A (Ser392) Polyclonal Antibody, Invitrogen™

Product Code. 15575211
Change view
Click to view available options
Quantity:
100 μg
Unit Size:
100µg
1 product options available for selection
Product selection table with 1 available options. Use arrow keys to navigate and Enter or Space to select.
Product Code. Quantity unitSize
15575211 100 μg 100µg
Use arrow keys to navigate between rows. Press Enter or Space to select a product option. 1 options available.
1 options
This item is not returnable. View return policy
Product Code. 15575211 Supplier Invitrogen Supplier No. PA538290

Please to purchase this item. Need a web account? Register with us today!

This item is not returnable. View return policy

Rabbit Polyclonal Antibody

Lamins are components of the nuclear lamina, a fibrous layer on the nucleoplasmic side of the inner nuclear membrane, which is thought to provide a framework for the nuclear envelope and may also interact with chromatin. Lamin A and C are present in equal amounts in the lamina of mammals. Plays an important role in nuclear assembly, chromatin organization, nuclear membrane and telomere dynamics. Required for normal development of peripheral nervous system and skeletal muscle and for muscle satellite cell proliferation. Required for osteoblastogenesis and bone formation. Also prevents fat infiltration of muscle and bone marrow, helping to maintain the volume and strength of skeletal muscle and bone.
TRUSTED_SUSTAINABILITY

Specifications

Antigen Phospho-Lamin A (Ser392)
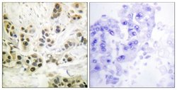
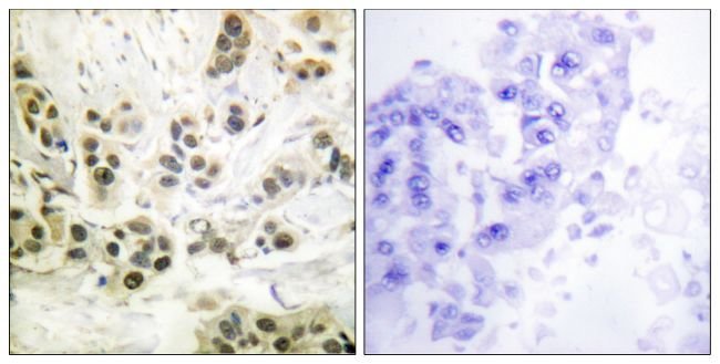
Applications Immunocytochemistry, Immunofluorescence, Immunohistochemistry (Paraffin), Western Blot
Classification Polyclonal
Concentration 1 mg/mL
Conjugate Unconjugated
Formulation Dulbecco′s PBS with 150mM NaCl, 50% glycerol and 0.02% sodium azide; pH 7.4
Gene LMNA
Gene Accession No. P02545, P48678, P48679
Gene Alias Prelamin-A/C, Lamin-A/C, 70 kDa lamin, Renal carcinoma antigen NY-REN-32, LMNA, LMN1
Gene Symbols LMNA
Host Species Rabbit
Immunogen A synthetic phosphopeptide derived from human Lamin A/B (lamin A/C) around the phosphorylation site of Ser392 (S-P-SP-P-T)
Purification Method Antigen affinity chromatography
Quantity 100 μg
Regulatory Status RUO
Primary or Secondary Primary
Gene ID (Entrez) 16905, 4000, 60374
Target Species Human, Mouse, Rat
Content And Storage -20°C
Product Type Antibody
Form Liquid
Isotype IgG
Show More Show Less
Product Title
Select an issue

By clicking Submit, you acknowledge that you may be contacted by Fisher Scientific in regards to the feedback you have provided in this form. We will not share your information for any other purposes. All contact information provided shall also be maintained in accordance with our Privacy Policy.