missing translation for 'onlineSavingsMsg'
Learn More
Learn More
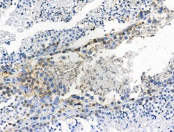
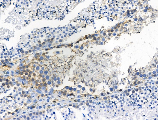
Invitrogen™ Phospho-LAT (Tyr220) Polyclonal Antibody

Rabbit Polyclonal Antibody
Brand: Invitrogen™ PA5105124
This item is not returnable.
View return policy
Description
Antibody detects endogenous levels of LAT only when phosphorylated at Tyr220, which site historically referenced as Tyr191.
LAT (Linker for Activation of T cells) is a 36-38 kDa double-palmitoylated transmembrane adaptor protein expressed by T cells, pre-B cells, NK cells, mast cells and platelets. After immunoreceptor triggering, LAT becomes multiply tyrosine-phosphorylated by Syk-, Src-, or Tec-family kinases, providing docking sites for downstream signaling molecules. LAT is essential for TCR-dependent T cell- and FcepsilonRI-dependent mast cell activation, as well as for maturation of early thymocytes. It is also involved in NK cell signaling and platelet activation.
Specifications
| Phospho-LAT (Tyr220) | |
| Polyclonal | |
| Unconjugated | |
| LAT | |
| 36 kDa phospho-tyrosine adapter protein; 36 kDa phospho-tyrosine adaptor protein; Lat; LAT1; linker for activation of T cells; linker for activation of T cells, transmembrane adaptor; linker for activation of T-cells; linker for activation of T-cells family member 1; linker protein; p36-38; pp36 | |
| Rabbit | |
| Sequential chromatography | |
| RUO | |
| 16797, 27040 | |
| -20°C | |
| Liquid |
| Immunohistochemistry (Paraffin), Western Blot, Immunocytochemistry | |
| 1 mg/mL | |
| PBS with 50% glycerol and 0.02% sodium azide; pH 7.4 | |
| O43561, O54957 | |
| LAT | |
| A synthesized peptide derived from human LAT around the phosphorylation site of Tyr191. | |
| 100 μL | |
| Primary | |
| Human, Mouse | |
| Antibody | |
| IgG |
Product Content Correction
Your input is important to us. Please complete this form to provide feedback related to the content on this product.
Product Title
Spot an opportunity for improvement?Share a Content Correction