missing translation for 'onlineSavingsMsg'
Learn More
Learn More
Invitrogen™ Phospho-LRP1 (Ser4520) Polyclonal Antibody

Description
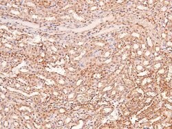
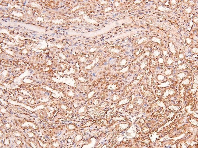
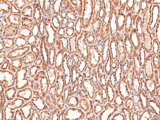
Antibody detects endogenous levels of LRP1/CD91 only when phosphorylated at Ser4520.
CD91 is a 600 kDa type I transmembrane protein composed of an alpha and beta chain. The alpha chain interacts with a variety of structurally and functionally diverse ligands, while the beta chain contains two tyrosine phosphorylation motifs that interact with adaptor and signaling proteins. This receptor is expressed by cells in the monocytic lineage, dendritic cells, hepatocytes, fibroblasts, adipocytes, neurons, and syncytiotrophoblasts. CD91 plays a crucial role in several cellular processes, including ligand endocytosis and trafficking to lysosomes, intracellular signaling, lipid homeostasis, and clearance of apoptotic cells. It is involved in cross-presenting antigens via MHC class I molecules on antigen-presenting cells after endocytosis of heat shock protein-peptide complexes. Additionally, CD91 is essential for the A2M-mediated clearance of secreted amyloid precursor protein and beta-amyloid, the main component of amyloid plaques found in Alzheimer patients. Expression of CD91 decreases with age and is found to be lower in brain tissue from Alzheimer patients compared to controls. The receptor also plays a role in cell migration and activating signaling cascades, highlighting its importance in both immune function and disease processes.
Specifications
Specifications
| Antigen | Phospho-LRP1 (Ser4520) |
| Applications | Immunohistochemistry (Paraffin), Western Blot |
| Classification | Polyclonal |
| Concentration | 1 mg/mL |
| Conjugate | Unconjugated |
| Formulation | PBS with 50% glycerol and 0.02% sodium azide; pH 7.4 |
| Gene | LRP1 |
| Gene Accession No. | Q07954, Q91ZX7 |
| Gene Alias | A2MR; AI316852; alpha 2-macroglobulin receptor; alpha-2-macroglobulin receptor; APOER; Apolipoprotein E receptor; APR; b2b1554Clo; CD91; FLJ16451; IGFBP3R; LDL receptor related protein 1; lipoprotein receptor-related protein; low density lipoprotein receptor-related protein 1; low density lipoprotein-related protein 1 (alpha-2-macroglobulin receptor); Low-density lipoprotein receptor-related protein 1 515 kDa subunit; Low-density lipoprotein receptor-related protein 1 85 kDa subunit; Low-density lipoprotein receptor-related protein 1 intracellular domain; Lrp; Lrp1; LRP-1; LRP1A; LRP-515; LRP-85; LRPICD; MGC88725; Prolow-density lipoprotein receptor-related protein 1; TbetaR-V/LRP-1/IGFBP-3 receptor; TGFBR5; type V tgf-beta receptor |
| Gene Symbols | LRP1 |
| Show More |
Product Title
By clicking Submit, you acknowledge that you may be contacted by Fisher Scientific in regards to the feedback you have provided in this form. We will not share your information for any other purposes. All contact information provided shall also be maintained in accordance with our Privacy Policy.
Spot an opportunity for improvement?