missing translation for 'onlineSavingsMsg'
Learn More

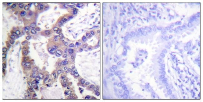
Phospho-MKP-1 (Ser359) Polyclonal Antibody, Invitrogen™

Rabbit Polyclonal Antibody

Brand:  Invitrogen PA538677

Product Code. 15575591

  • € 486.16 / 100µg

Please to purchase this item. Need a web account? Register with us today!

This item is not returnable. View return policy

Description

Description

Dual specificity phosphatase that dephosphorylates MAP kinase MAPK1/ERK2 on both ′Thr-183′ and ′Tyr-185′, regulating its activity during the meiotic cell cycle.
TRUSTED_SUSTAINABILITY
Specifications

Specifications

Phospho-MKP-1 (Ser359)
Polyclonal
Unconjugated
DUSP1
3CH134, CL100, Dual specificity protein phosphatase 1, Dual specificity protein phosphatase hVH1, DUS1, DUSP1, EC 3.1.3.16, EC 3.1.3.48, MAP kinase phosphatase-1, MKP1, Protein-tyrosine phosphatase 3CH134, Protein-tyrosine phosphatase CL100, Protein-tyros
Rabbit
Antigen affinity chromatography
RUO
1843, 19252
-20°C
Liquid
Immunohistochemistry (Paraffin)
1 mg/mL
Dulbecco′s PBS with 150mM NaCl, 50% glycerol and 0.02% sodium azide; pH 7.4
P28562, P28563
DUSP1
A synthetic phosphopeptide derived from human MKP1 around the phosphorylation site of Ser359(L-Q-SP-P-I)
100 μg
Primary
Human, Mouse
Antibody
IgG
Product Suggestions

Product Suggestions

Videos
SDS
Documents

Documents

Certificates
Promotions

Promotions

Product Content Correction

Your input is important to us. Please complete this form to provide feedback related to the content on this product.

Product Title

By clicking Submit, you acknowledge that you may be contacted by Fisher Scientific in regards to the feedback you have provided in this form. We will not share your information for any other purposes. All contact information provided shall also be maintained in accordance with our Privacy Policy.

Thank You! Your feedback has been submitted. Fisher Scientific is always working to improve our content for you. We appreciate your feedback.