missing translation for 'onlineSavingsMsg'
Learn More
Learn More
Invitrogen™ Phospho-MSK2 (Thr568) Polyclonal Antibody

Rabbit Polyclonal Antibody
Brand: Invitrogen™ PA540176
This item is not returnable.
View return policy
Description
This antibody is predicted to react with mouse based on sequence homology.
RPS6KA4 (MSK2) is a serine/threonine protein kinase that is essential for the regulation of various cellular processes. This kinase contains 2 non-identical kinase catalytic domains and phosphorylates various substrates, including CREB1 and c-fos. RPS6KA4 contains 2 non-identical kinase catalytic domains and phosphorylates various substrates, including CREB1 and c-fos. Alternate transcriptional splice variants of this gene have been observed but have not been thoroughly characterized.
Specifications
| Phospho-MSK2 (Thr568) | |
| Polyclonal | |
| Unconjugated | |
| Rps6ka4 | |
| 1110069D02Rik; 90 kDa ribosomal protein S6 kinase 4; 90kDa; AI848992; Ccdc88b; coiled-coil domain containing 88B; EC 2.7.11.1; kinase MSK2; KS6A4; mitogen- and stress-activated protein kinase 2; mitogen- and stress-activated protein kinase-2; mMSK2; MSK2; Nuclear mitogen- and stress-activated protein kinase 2; ribosomal protein kinase B; ribosomal protein S6 kinase A4; ribosomal protein S6 kinase alpha 4; ribosomal protein S6 kinase alpha-4; ribosomal protein S6 kinase, 90kD, polypeptide 4; ribosomal protein S6 kinase, 90kDa, polypeptide 4; ribosomal protein S6 kinase, polypeptide 4; RLSK; RPS6KA4; RSKB; RSK-B; RSK-like protein kinase; S6K-alpha-4 | |
| Rabbit | |
| Antigen affinity chromatography | |
| RUO | |
| 56613, 8986 | |
| -20°C, Avoid Freeze/Thaw Cycles | |
| Liquid |
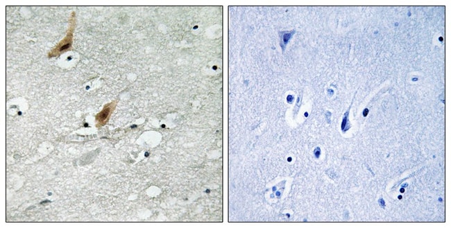
| Immunohistochemistry (Paraffin), Western Blot | |
| 1 mg/mL | |
| PBS with 50% glycerol and 0.02% sodium azide; pH 7.4 | |
| O75676, Q9Z2B9 | |
| Rps6ka4 | |
| Peptide sequence around phosphorylation site of threonine 568 (M-Q-T(p)-P-C) derived from Human MSK2. | |
| 100 μL | |
| Primary | |
| Human, Mouse | |
| Antibody | |
| IgG |
Product Content Correction
Your input is important to us. Please complete this form to provide feedback related to the content on this product.
Product Title
Spot an opportunity for improvement?Share a Content Correction