missing translation for 'onlineSavingsMsg'
Learn More
Learn More
Invitrogen™ Phospho-NFkB p65 (Ser311) Polyclonal Antibody

Rabbit Polyclonal Antibody
Brand: Invitrogen™ PA537720
This item is not returnable.
View return policy
Description
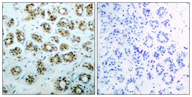
A suggested positive control for Western blot is Hela cells; suggested positive control for IHC is human breast carcinoma; suggested positive control for ICC/IF is Hela cells.
Nuclear factor kB p65 (NF-kB p65) is encoded by the RELA gene and is present on chromosome 11 in humans. NF-kB P65 is also known as RelA (v-rel avian reticuloendotheliosis viral oncogene homolog A) and belongs to the Rel family of proteins. It is one of the two subunits of NF-kB (Nuclear factor kappa-light-chain-enhancer of activated B cells) that heterodimerizes with the other subunits p50 or p52. However, binding of TNF alpha to its cognate receptor phosphorylates IKK which in turn phosphorylates I kB allowing proteasomal degradation of I kB. It specifically plays a key role in transcription of immunoglobulin k (kappa) gene in mature B-lymphoid cells.
Specifications
| Phospho-NFkB p65 (Ser311) | |
| Polyclonal | |
| Unconjugated | |
| RELA | |
| avian reticuloendotheliosis viral (v-rel) oncogene homolog A; EBP-1; I79_021812; MGC131774; NF KB; NFkappaB p65; nf-kappa-b p65; NF-kappa-B p65delta3; NF-kappa-B transcription factor p65; NF-kappaB transcription factor p65 subunit; NFkB; NF-kB p65; NF-kB p65 subunit; nfkb rela; NFKB1; nfkb3; NFkB-p50; nuclear factor; nuclear factor kappa b; nuclear factor kappa B subunit p65; nuclear factor NF-kappa-B p65 subunit; Nuclear factor of kappa light polypeptide gene enhancer in B-cells 3; p65; p65 NF kappaB; p65 NF-kappa B; p65 NFkB; P65 transcription factor; putative transcription factor p65 homolog; REL A; rel1; rela; RELA proto-oncogene, NF-kB subunit; rela.L; rela-a; Transcription factor p65; v-rel avian reticuloendotheliosis viral oncogene homolog A; v-rel avian reticuloendotheliosis viral oncogene homolog A L homeolog; v-rel reticuloendotheliosis viral oncogene homolog A; v-rel reticuloendotheliosis viral oncogene homolog A (avian); v-rel reticuloendotheliosis viral oncogene homolog A, nuclear factor of kappa light polypeptide gene enhancer in B-cells 3, p65; XELAEV_18022301mg; Xrel1; xrela | |
| Rabbit | |
| Antigen affinity chromatography | |
| RUO | |
| 19697, 309165, 5970 | |
| -20°C | |
| Liquid |
| Immunohistochemistry (Paraffin), Western Blot, Immunocytochemistry | |
| 1 mg/mL | |
| PBS with 50% glycerol and 0.02% sodium azide; pH 7.4 | |
| Q04206, Q04207 | |
| RELA | |
| Peptide sequence around phosphorylation site of serine 311(F-K-S(p)-I-M) derived from Human NF-kappa-B-p65. | |
| 100 μL | |
| Primary | |
| Human, Mouse, Rat | |
| Antibody | |
| IgG |
Product Content Correction
Your input is important to us. Please complete this form to provide feedback related to the content on this product.
Product Title
Hittar du en möjlighet till förbättring?Dela en innehållskorrigering