missing translation for 'onlineSavingsMsg'
Learn More
Learn More
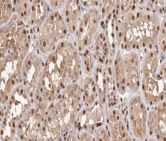
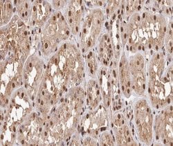
Invitrogen™ Phospho-NFkB p65 (Thr254) Polyclonal Antibody

Rabbit Polyclonal Antibody
Brand: Invitrogen™ PA5104960
This item is not returnable.
View return policy
Description
Antibody detects endogenous levels of NF-kB p65 only when phosphorylated at Threonine 254.
Nuclear factor kB p65 (NF-kB p65) is encoded by the RELA gene and is present on chromosome 11 in humans. NF-kB P65 is also known as RelA (v-rel avian reticuloendotheliosis viral oncogene homolog A) and belongs to the Rel family of proteins. It is one of the two subunits of NF-kB (Nuclear factor kappa-light-chain-enhancer of activated B cells) that heterodimerizes with the other subunits p50 or p52. However, binding of TNF alpha to its cognate receptor phosphorylates IKK which in turn phosphorylates I kB allowing proteasomal degradation of I kB. It specifically plays a key role in transcription of immunoglobulin k (kappa) gene in mature B-lymphoid cells.
Specifications
| Phospho-NFkB p65 (Thr254) | |
| Polyclonal | |
| Unconjugated | |
| RELA | |
| avian reticuloendotheliosis viral (v-rel) oncogene homolog A; EBP-1; I79_021812; MGC131774; NF KB; NFkappaB p65; nf-kappa-b p65; NF-kappa-B p65delta3; NF-kappa-B transcription factor p65; NF-kappaB transcription factor p65 subunit; NFkB; NF-kB p65; NF-kB p65 subunit; nfkb rela; NFKB1; nfkb3; NFkB-p50; nuclear factor; nuclear factor kappa b; nuclear factor kappa B subunit p65; nuclear factor NF-kappa-B p65 subunit; Nuclear factor of kappa light polypeptide gene enhancer in B-cells 3; p65; p65 NF kappaB; p65 NF-kappa B; p65 NFkB; P65 transcription factor; putative transcription factor p65 homolog; REL A; rel1; rela; RELA proto-oncogene, NF-kB subunit; rela.L; rela-a; Transcription factor p65; v-rel avian reticuloendotheliosis viral oncogene homolog A; v-rel avian reticuloendotheliosis viral oncogene homolog A L homeolog; v-rel reticuloendotheliosis viral oncogene homolog A; v-rel reticuloendotheliosis viral oncogene homolog A (avian); v-rel reticuloendotheliosis viral oncogene homolog A, nuclear factor of kappa light polypeptide gene enhancer in B-cells 3, p65; XELAEV_18022301mg; Xrel1; xrela | |
| Rabbit | |
| Sequential Chromatography | |
| RUO | |
| 19697, 309165, 5970 | |
| -20°C | |
| Liquid |
| Immunohistochemistry (Paraffin), Immunoprecipitation, Western Blot, Immunocytochemistry | |
| 1 mg/mL | |
| PBS with 50% glycerol and 0.02% sodium azide; pH 7.4 | |
| Q04206, Q04207 | |
| RELA | |
| A synthesized peptide derived from human RELA(Accession Q04206), corresponding to amino acid residues around phosphorylated Thr254. | |
| 100 μL | |
| Primary | |
| Human, Mouse, Rat | |
| Antibody | |
| IgG |
Product Content Correction
Your input is important to us. Please complete this form to provide feedback related to the content on this product.
Product Title
Spot an opportunity for improvement?Share a Content Correction