missing translation for 'onlineSavingsMsg'
Learn More
Learn More
Invitrogen™ Phospho-p38 MAPK (Tyr323) Polyclonal Antibody

Rabbit Polyclonal Antibody
Brand: Invitrogen™ PA540258
This item is not returnable.
View return policy
Description
This antibody is predicted to react with mouse and rat based on sequence homology.
MAPK14 (p38 alpha) is a member of the stress-activated protein kinase class of MAPKs. The p38 MAPK cascade regulates a variety of cellular responses to stress, inflammation, and other signals. p38 MAPK is relatively inactive in the nonphosphorylated form and becomes rapidly activated by dual phosphorylation of a Thr-Gly-Tyr motifs. There are four isoforms of p38 MAPK, which differ in their tissue expression and affinity for upstream activators and downstream effectors. When cells are exposed to tumor necrosis factor, interleukin-1, heat shock, or other activating stimuli, activation of MAPK kinase-3 occurs by phosphorylation. Activated MAPK kinase-3/6 phosphorylate each residue of Thr180 and Tyr182 in p38 MAPK. Phospho-p38 MAPK activates ATF-2, CHOP-1, MEF-2 and other transcription factors through phosphorylation.
Specifications
| Phospho-p38 MAPK (Tyr323) | |
| Polyclonal | |
| Unconjugated | |
| MAPK14 | |
| 186F5S; anon-sts23; BG:DS00797.3; CG7393; CG7393-PA; CRK1; CSAID-binding protein; Csaids binding protein; CSBP; Csbp1; Csbp2; CSPB1; cytokine suppressive anti-inflammatory drug binding protein; cytokine suppressive anti-inflammatory drug binding protein 1; cytokine suppressive anti-inflammatory drug-binding protein; cytokine-supressive anti-inflammatory drug binding protein; Dm p38b; Dmel\CG7393; Dmel_CG7393; Dmp38b; Dp38; D-p38; D-p38 MAPK; Dp38b; D-p38b; EC 2.7.11.24; ERK1; ERT2; ESTS:186F5S; etID18993.8; Exip; fk28c03; hm:zeh1243; Hog; I79_016605; LD24658p; MAP 14; MAP kinase 1; MAP kinase 11; MAP kinase 14; MAP kinase 14A; MAP kinase 2; MAP kinase Mxi2; MAP kinase p38; MAP kinase p38 alpha; MAP kinase p38 beta; MAP kinase p38a; MAP kinase p38alpha; MAP kinase p38b; MAPK; MAPK 11; MAPK 14; MAPK 14A; MAPK1 antibody; Mapk11; Mapk14; mapk14a; MAX-interacting protein 2; mitogen activated protein kinase 11; mitogen activated protein kinase 14; mitogen-activated protein kinase 11; Mitogen-activated protein kinase 14; mitogen-activated protein kinase 14a; Mitogen-activated protein kinase p38 alpha; mitogen-activated protein kinase p38 beta; mitogen-activated protein kinase p38-2; mitogen-activated protein kinase p38a; Mitogen-activated protein kinase p38b; MK14; Mpk34C; Mxi2; OTTHUMP00000216563; OTTHUMP00000216566; P38; p38 alpha; p38 alpha/Mxi2; p38 beta; p38 MAP kinase; p38 MAP kinase alpha; p38 MAPK; p38 mitogen activated protein kinase; p38 mitogen-activated protein kinase; p38-2; p38a; p38ALPHA; p38-alpha; p38alpha Exip; P38B; p38b MAP kinase; p38beta; p38beta2; p38b-PA; p38Hog; p38Kb; p38MAPK; PRKM11; Prkm14; Prkm15; protein kinase, mitogen activated kinase, 11, p38beta; reactive kinase; RK; RP1-179N16.5; Sapk2; Sapk2A; SAPK2b; stress-activated p38b MAP kinase; stress-activated protein kinase 2A; Stress-activated protein kinase 2b; stress-activated protein kinase-2; stress-activated protein kinase-2b; tRNA synthetase cofactor p38; wu:fk28c03; zeh1243; zp38a | |
| Rabbit | |
| Antigen affinity chromatography | |
| RUO | |
| 1432, 26416, 81649 | |
| -20°C, Avoid Freeze/Thaw Cycles | |
| Liquid |
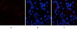
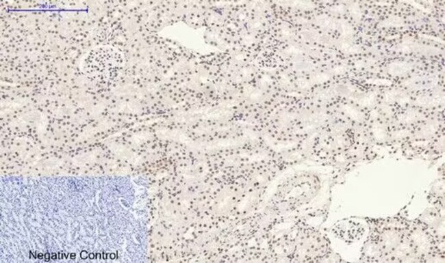
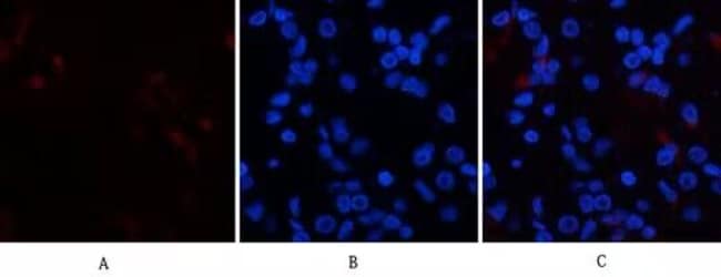
| ELISA, Immunohistochemistry (Paraffin), Western Blot, Immunocytochemistry | |
| 1 mg/mL | |
| PBS with 0.5% BSA, 50% glycerol and 0.02% sodium azide; pH 7.4 | |
| P47811, P70618, Q16539 | |
| MAPK14 | |
| Synthesized peptide derived from human p38 around the phosphorylation site of Y323. | |
| 100 μL | |
| Primary | |
| Human, Mouse, Rat | |
| Antibody | |
| IgG |
Product Content Correction
Your input is important to us. Please complete this form to provide feedback related to the content on this product.
Product Title
Spot an opportunity for improvement?Share a Content Correction