missing translation for 'onlineSavingsMsg'
Learn More

Phospho-p70 S6 Kinase (Thr421) Polyclonal Antibody, Invitrogen™

Rabbit Polyclonal Antibody

Brand:  Invitrogen PA537733

Product Code. 15554671

This item is currently unavailable or has been discontinued.
View the product page for possible alternatives.
View alternative products »

This item is not returnable. View return policy

Description

Description

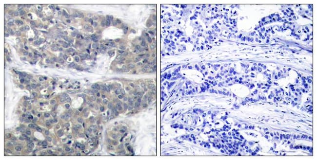
A suggested positive control for Western blot is Jurkat cells; suggested positive control for IHC is human breast carcinoma; suggested positive control for ICC/IF is MCF-7 cells.

Phospho-p70 S6 Kinase (Thr421) Polyclonal antibody specifically detects Phospho-p70 S6 Kinase (Thr421) in Human, Mouse, Rat samples. It is validated for Immunocytochemistry, Immunohistochemistry (Paraffin), Western Blot.
TRUSTED_SUSTAINABILITY
Specifications

Specifications

Phospho-p70 S6 Kinase (Thr421)
Polyclonal
Unconjugated
RPS6KB1
10539; 2610318I15Rik; 4732464A07Rik; 70 kDa ribosomal protein S6 kinase 1; 7084; 70kDa; 7-10; AA959758; AI256796; AI314060; CG10539; CG10539-PA; CG10539-PB; Dmel\CG10539; Dmel_CG10539; Dp70[s6k]; Dp70S6k; dps6k; dS6 kinase; dS6K; d-S6K; dS6K1; EC 2.7.11.1; fs(3)07084; hypothetical protein; kinase p70S6K; KS6B1; l(3)07084; p70 p70-S6K; p70 ribosomal S6 kinase; p70 ribosomal S6 kinase alpha; p70 S6 kinase; p70 S6 kinase 1; p70 S6 kinase alpha; p70 S6 kinase, alpha; p70 S6K; p70 S6KA; p70 S6K-alpha; p70(S6K)-alpha; p70/85s6k; p70/S6K; p70[S6 kinase]; p70[S6k]; p70[S6kinase]; p70-alpha; p70S6 kinase; p70S6k; p70-S6K; p70-S6K 1; p70S6K kinase; p70s6k protein kinase homolog; P70S6K1; p70S6K-alpha; p80-S6K 1; p85 p85S6K; Pk?6; Pk64F; protein kinase-like 64F; PS6K; p-S6K; ribosomal protein S6 kinase; ribosomal protein S6 kinase B1; ribosomal protein S6 kinase beta-1; Ribosomal protein S6 kinase I; ribosomal protein S6 kinase polypeptide 1; ribosomal protein S6 kinase, 70kD, polypeptide 1; ribosomal protein S6 kinase, 70kDa, polypeptide 1; ribosomal protein S6 kinase, polypeptide 1; ribosomal S6 protein kinase; Rps6kb1; RPS6-p70-protein kinase; S6 K; S6 kinase; s6k; S6K kinase; S6K1; s6k11; S6K-beta-1; S6kinase; S6-kinase; S6k-PA; S6k-PB; serine/threonine kinase 14 alpha; serine/threonine-protein kinase 14A; STK14A
Rabbit
Affinity chromatography
RUO
6198, 72508, 83840
-20°C
Liquid
Immunocytochemistry, Immunohistochemistry (Paraffin), Western Blot
1 mg/mL
PBS with 50% glycerol and 0.02% sodium azide; pH 7.4
P23443, P67999, Q8BSK8
RPS6KB1
Peptide sequence around phosphorylation site of threonine 421 (P-R-T(p)-P-V) derived from Human p70 S6 Kinase.
100 μL
Primary
Human, Mouse, Rat
Antibody
IgG
Product Suggestions

Product Suggestions

Videos
SDS
Documents

Documents

Certificates
Promotions

Promotions

Product Content Correction

Your input is important to us. Please complete this form to provide feedback related to the content on this product.

Product Title

By clicking Submit, you acknowledge that you may be contacted by Fisher Scientific in regards to the feedback you have provided in this form. We will not share your information for any other purposes. All contact information provided shall also be maintained in accordance with our Privacy Policy.

Thank You! Your feedback has been submitted. Fisher Scientific is always working to improve our content for you. We appreciate your feedback.