missing translation for 'onlineSavingsMsg'
Learn More
Learn More
Invitrogen™ Phospho-PDGFRA (Tyr762) Polyclonal Antibody

Rabbit Polyclonal Antibody
Brand: Invitrogen™ PA5105793
This item is not returnable.
View return policy
Description
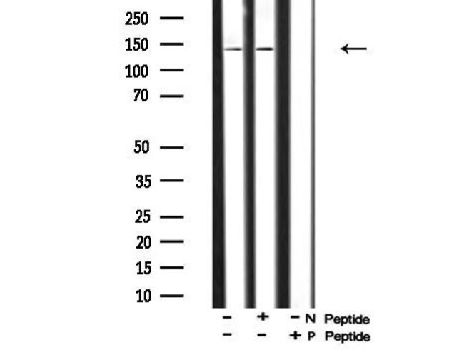
Antibody detects endogenous levels of PDGF Receptor alpha only when phosphorylated at Tyr762.
PDGFRA is a cell surface receptor tyrosine kinase which binds members of the platelet-derived growth factor family. These growth factors are mitogens for cells of mesenchymal origin. The identity of the growth factor bound to a receptor monomer determines whether the functional receptor is a homodimer or a heterodimer, composed of both platelet-derived growth factor receptor alpha and beta polypeptides. Studies in knockout mice, where homozygosity is lethal, indicate that the alpha form of the platelet-derived growth factor receptor is particularly important for kidney development since mice heterozygous for the receptor exhibit defective kidney phenotypes.
Specifications
| Phospho-PDGFRA (Tyr762) | |
| Polyclonal | |
| Unconjugated | |
| PDGFRA | |
| AI115593; alpha platelet-derived growth factor receptor; Alpha platelet-derived growth factor receptor precursor (PDGF-R-alpha); alpha-type platelet-derived growth factor receptor; APDGFR; CD140 antigen-like family member A; CD140A; CD140a antigen; GAS9; MGC74795; OTTHUMP00000218656; PDGF A-chain; PDGF alpha chain; PDGF Receptor alpha; PDGF subunit A; PDGF-1; PDGFACE; PDGFR2; Pdgfr-2; PDGFRA; pdgfr-a; PDGFRA/BCR fusion; PDGF-R-alpha; PDGFR-alpha; platelet derived growth factor receptor alpha; platelet derived growth factor receptor, alpha polypeptide; platelet-derived growth factor alpha receptor; Platelet-derived growth factor receptor 2; platelet-derived growth factor receptor alpha; platelet-derived growth factor receptor, alpha polypeptide; rearranged-in-hypereosinophilia-platelet derived growth factor receptor alpha fusion protein; RHEPDGFRA | |
| Rabbit | |
| Sequential Chromatography | |
| RUO | |
| 18595, 25267, 5156 | |
| -20°C | |
| Liquid |
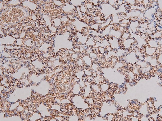
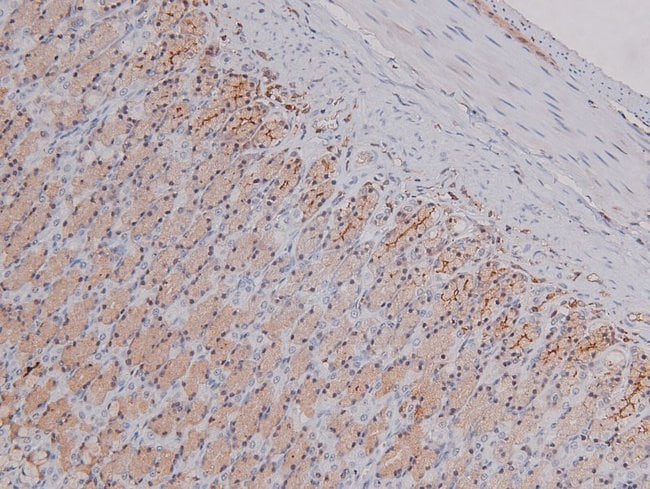
| Immunohistochemistry (Paraffin), Western Blot | |
| 1 mg/mL | |
| PBS with 50% glycerol and 0.02% sodium azide; pH 7.4 | |
| P16234, P20786, P26618 | |
| PDGFRA | |
| A synthesized peptide derived from human PDGFRA(Accession P16234), corresponding to amino acid residues around phosphorylated Tyr762. | |
| 100 μL | |
| Primary | |
| Human, Mouse, Rat | |
| Antibody | |
| IgG |
Product Content Correction
Your input is important to us. Please complete this form to provide feedback related to the content on this product.
Product Title
Spot an opportunity for improvement?Share a Content Correction