missing translation for 'onlineSavingsMsg'
Learn More
Learn More
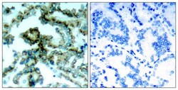
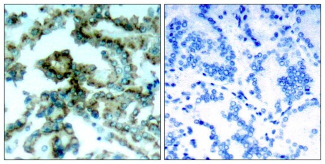
Invitrogen™ Phospho-PKC beta (Thr641) Polyclonal Antibody

Description
A suggested positive control for Western blot is JK cells; suggested positive control for IHC is human lung carcinoma; suggested positive control for ICC/IF is MCF-7 cells.
Protein kinase C (PKC) is a family of serine- and threonine-specific protein kinases that can be activated by calcium and second messenger diacylglycerol. PKC family members phosphorylate a wide variety of protein targets and are known to be involved in diverse cellular signaling pathways. PKC family members also serve as major receptors for phorbol esters, a class of tumor promoters. Each member of the PKC family has a specific expression profile and is believed to play a distinct role in cells. The protein encoded by this gene is one of the PKC family members. This protein kinase has been reported to be involved in many different cellular functions, such as B cell activation, apoptosis induction, endothelial cell proliferation, and intestinal sugar absorption. Studies in mice also suggest that this kinase may also regulate neuronal functions and correlate fear-induced conflict behavior after stress. Alternatively spliced transcript variants encoding distinct isoforms have been reported.
Specifications
Specifications
| Antigen | Phospho-PKC beta (Thr641) |
| Applications | Immunohistochemistry (Paraffin), Western Blot, Immunocytochemistry |
| Classification | Polyclonal |
| Concentration | 1 mg/mL |
| Conjugate | Unconjugated |
| Formulation | PBS with 50% glycerol and 0.02% sodium azide; pH 7.4 |
| Gene | PRKCB |
| Gene Accession No. | P05771, P68403, P68404 |
| Gene Alias | A130082F03Rik; PKCB; PKC-B; PKC-beta; PRKCB; PRKCB1; PRKCB2; protein kinase C beta; protein kinase C beta I; protein kinase C beta II; protein kinase C beta type; protein kinase C beta-II; protein kinase C, beta; protein kinase C, beta 1; protein kinase C, beta 1 polypeptide |
| Gene Symbols | PRKCB |
| Show More |
Product Title
By clicking Submit, you acknowledge that you may be contacted by Fisher Scientific in regards to the feedback you have provided in this form. We will not share your information for any other purposes. All contact information provided shall also be maintained in accordance with our Privacy Policy.
Spot an opportunity for improvement?