missing translation for 'onlineSavingsMsg'
Learn More

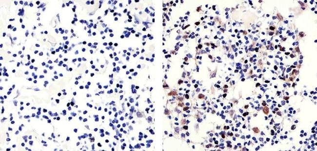
Invitrogen™ Phospho-Rb (Thr821) Recombinant Superclonal™ Antibody (16HCLC)

Product Code. 15367304
Change view
Click to view available options
Quantity:
100 μg
Unit Size:
100µg
1 product options available for selection
Product selection table with 1 available options. Use arrow keys to navigate and Enter or Space to select.
Product Code. Quantity unitSize
15367304 100 μg 100µg
Use arrow keys to navigate between rows. Press Enter or Space to select a product option. 1 options available.
1 options
This item is not returnable. View return policy
Product Code. 15367304 Supplier Invitrogen™ Supplier No. 710314

Please to purchase this item. Need a web account? Register with us today!

This item is not returnable. View return policy

Rabbit Recombinant Superclonal Antibody

This antibody is predicted to react with mouse, rat, non-human primate and rabbit based on sequence homology. Recombinant rabbit Superclonal™ antibodies are unique offerings from Thermo Fisher Scientific. They are comprised of a selection of multiple different recombinant monoclonal antibodies, providing the best of both worlds - the sensitivity of polyclonal antibodies with the specificity of monoclonal antibodies - all delivered with the consistency only found in a recombinant antibody. While functionally the same as a polyclonal antibody - recognizing multiple epitope sites on the target and producing higher detection sensitivity for low abundance targets - a recombinant rabbit Superclonal™ antibody has a known mixture of light and heavy chains. The exact population can be produced in every lot, circumventing the biological variability typically associated with polyclonal antibody production. Note: Formerly called Recombinant polyclonal antibody, this product is now rebranded as Recombinant Superclonal™ antibody. The physical product and the performance remain unchanged.

Rb is a tumor suppressor nuclear phosphoprotein capable of binding to DNA. It is phosphorylated on serine and threonine, but not on tyrosine residues. It forms a complex with SV40 large T antigen, adenovirus E1A, and human papilloma virus-16 E. Rb protein may act by regulating transcription and loss of its function leads to uncontrolled cell growth. Aberrations in the RB gene have been implicated in cancers of breast, colon, prostate, kidney, nasopharynx, and leukemia.
TRUSTED_SUSTAINABILITY

Specifications

Antigen Phospho-Rb (Thr821)
Applications Immunohistochemistry (Paraffin), Western Blot, Immunocytochemistry
Classification Recombinant Superclonal
Clone 16HCLC
Concentration 0.5 mg/mL
Conjugate Unconjugated
Formulation PBS with 0.09% sodium azide
Gene RB1
Gene Accession No. P06400
Gene Alias Cleaved Rb; delta RB-p70; DRb-p70; exon 17 tumor GOS561 substitution mutation causes premature stop; GOS563 exon 17 substitution mutation causes premature stop; OSRC; p104; p104 chicken Rb; P105RB; p105-Rb; Phospho-Retinoblastoma; pp105; pp110; PPP1R130; pRb; prepro-retinoblastoma-associated protein; protein phosphatase 1, regulatory subunit 130; rb; RB transcriptional corepressor 1; RB1; Rb-1; Rb-p70; Retin; Retinoblastoma; retinoblastoma 1; retinoblastoma 1 (including osteosarcoma); retinoblastoma 1 protein; retinoblastoma gene; retinoblastoma isoform A; retinoblastoma protein; retinoblastoma suspectibility protein; retinoblastoma tumor suppressor; retinoblastoma-associated protein
Gene Symbols RB1
Host Species Rabbit
Immunogen Phosphopeptide corresponding to amino acids 817-825 of human Retinoblastoma [pT821].
Purification Method Protein A
Quantity 100 μg
Regulatory Status RUO
Primary or Secondary Primary
Gene ID (Entrez) 5925
Target Species Human
Content And Storage Store at 4°C short term. For long term storage, store at -20°C, avoiding freeze/thaw cycles.
Product Type Antibody
Form Liquid
Isotype IgG
Show More Show Less
Product Title
Select an issue

By clicking Submit, you acknowledge that you may be contacted by Fisher Scientific in regards to the feedback you have provided in this form. We will not share your information for any other purposes. All contact information provided shall also be maintained in accordance with our Privacy Policy.