missing translation for 'onlineSavingsMsg'
Learn More
Learn More
Invitrogen™ Phospho-SMAD2 (Ser467) Polyclonal Antibody

Rabbit Polyclonal Antibody
Brand: Invitrogen™ PA5105000
This item is not returnable.
View return policy
Description
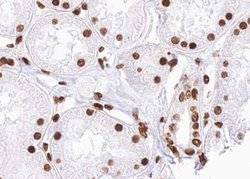
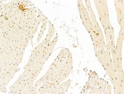
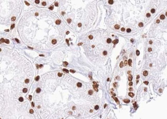
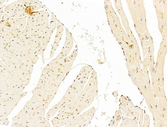
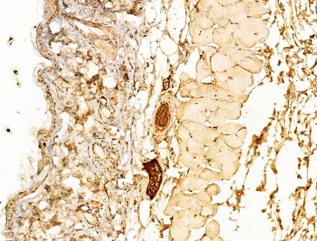
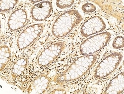
Antibody detects endogenous levels of Smad2 only when phosphorylated at Serine 467.
SMAD2 (MADH2, MAD2) regulates multiple cellular processes, such as cell proliferation, apoptosis, and differentiation. SMAD2 interacts with the TGF-beta receptors through its interaction with the SMAD anchor for receptor activation into the nucleus is a central event in TGF beta signaling. Phosphorylation of threonine 8 in the calmodulin-binding region of the MH1 domain by extracellular signal regulated kinase 1 (ERK1) enhances SMAD2 transcriptional activity, which is negatively regulated by calmodulin. In response to the TGF-beta signal, SMAD2 is phosphorylated by the TGF-beta receptors. The phosphorylation induces the dissociation of this protein with SARA and the association with the family member SMAD4. The association with SMAD4 is important for the translocation of this protein into the nucleus, where it binds to target promoters and forms a transcription repressor complex with other cofactors. SMAD2 can also be phosphorylated by activin type 1 receptor kinase, and mediates the signal from the activin. Alternatively spliced transcript variants encoding the SMAD2 protein have been observed.
Specifications
| Phospho-SMAD2 (Ser467) | |
| Polyclonal | |
| Unconjugated | |
| SMAD2 | |
| 7120426M23Rik; EGK_09664; hMAD-2; hSMAD2; JV18; JV18-1; MAD; MAD homolog 2; Mad protein homolog; Madh2; Madr2; Mad-related protein 2; MGC22139; MGC34440; mMad2; mother against DPP homolog 2; mothers against decapentaplegic homolog 2; Mothers against decapentaplegic-like protein 2; mothers against DPP homolog 2; pSMAD2; Sma- and Mad-related protein 2; SMAD; SMAD 2; SMAD family member 2; SMAD, mothers against DPP homolog 2; Smad2; Smad-2; Smad2Deltaexon3 | |
| Rabbit | |
| sequential chromatography | |
| RUO | |
| 17126, 29357, 4087 | |
| -20°C | |
| Liquid |
| Immunohistochemistry (Paraffin), Western Blot, Immunocytochemistry | |
| 1 mg/mL | |
| PBS with 50% glycerol and 0.02% sodium azide; pH 7.4 | |
| O70436, Q15796, Q62432 | |
| SMAD2 | |
| A synthesized peptide derived from human SMAD2(Accession Q15796), corresponding to amino acid residues around phosphorylated Ser467. | |
| 100 μL | |
| Primary | |
| Human, Mouse, Rat | |
| Antibody | |
| IgG |
Product Content Correction
Your input is important to us. Please complete this form to provide feedback related to the content on this product.
Product Title
Spot an opportunity for improvement?Share a Content Correction