missing translation for 'onlineSavingsMsg'
Learn More
Learn More
Invitrogen™ Phospho-STAT5 alpha (Ser780) Polyclonal Antibody

Rabbit Polyclonal Antibody
Brand: Invitrogen™ PA536891
This item is not returnable.
View return policy
Description
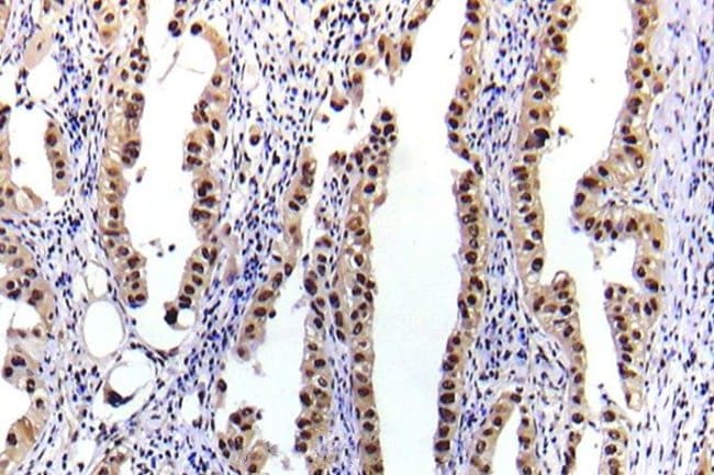
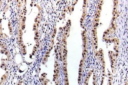
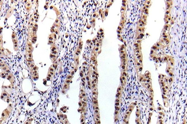
This antibody detects endogenous protein at a molecular weight of 90 kDa. Purity is >95% by SDS-PAGE.
STAT5 alpha is a member of the STAT family of transcription factors. In response to cytokines and growth factors, STAT family members are phosphorylated by the receptor associated kinases, and then form homo- or heterodimers that translocate to the cell nucleus where they act as transcription activators. STAT5 alpha is activated by, and mediates the responses of many cell ligands, such as IL2, IL3, IL7 GM-CSF, erythropoietin, thrombopoietin, and different growth hormones. Activation of STAT5 alpha in myeloma and lymphoma associated with a TEL/JAK2 gene fusion is independent of cell stimulus and has been shown to be essential for the tumorigenesis. The mouse counterpart of STAT5 alpha is found to induce the expression of BCL2L1/BCL-X(L), which suggests the antiapoptotic function of this protein in cells. STAT5 alpha, along with STAT5 beta, were identified in mouse. The amino acid sequences of STAT5 alpha and STAT5 beta show 96% sequence similarity, and both proteins are co expressed in most tissues in virgin and lactating mice. However, differential accumulation of STAT5 alpha and STAT5 beta mRNA has been reported for both muscle and mammary tissue. STAT5 alpha is critically involved in a variety of physiological functions, including reproduction, lactation, immune function and somatic growth.
Specifications
| Phospho-STAT5 alpha (Ser780) | |
| Polyclonal | |
| Unconjugated | |
| STAT5A | |
| AA959963; mammary gland factor; mammary gland factor STAT5A; mammary gland factor; transcription factor; Mgf; Mpf; signal transducer and activator of transcription 5; signal transducer and activator of transcription 5a; signal transducer and activator of transcription factor 5A; STAT; STAT5; STAT5A; STAT5A, Mammary Gland Factor; STAT5A/MGF; STAT5B; STATA5 | |
| Rabbit | |
| Antigen Affinity Chromatography | |
| RUO | |
| 20850, 24918, 6776 | |
| Store at 4°C short term. For long term storage, store at -20°C, avoiding freeze/thaw cycles. | |
| Liquid |
| Immunohistochemistry (Paraffin), Western Blot | |
| 1 mg/mL | |
| PBS with 0.05% sodium azide; pH 7.2 | |
| P42229, P42230, Q62771 | |
| STAT5A | |
| Synthetic phosphopeptide derived from human Stat5a around the phosphorylation site of Serine 780. | |
| 100 μL | |
| Primary | |
| Human, Mouse, Rat | |
| Antibody | |
| IgG |
Product Content Correction
Your input is important to us. Please complete this form to provide feedback related to the content on this product.
Product Title
Spot an opportunity for improvement?Share a Content Correction