missing translation for 'onlineSavingsMsg'
Learn More
Learn More
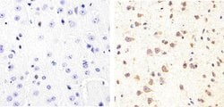
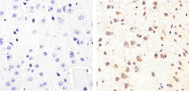
Invitrogen™ Phospho-Tau (Ser409) Polyclonal Antibody

Description
Phospho-Tau (Ser409) Polyclonal Antibody for Western Blot, IHC (P)
Tau is a neuronal microtubule-associated protein found predominantly on axons. The function of Tau is to promote tubulin polymerization and stabilize microtubules. The C-terminus binds axonal microtubules while the N- terminus binds neural plasma membrane components, suggesting that tau functions as a linker protein between both. Axonal polarity is predetermined by TAU/MAPT localization (in the neuronal cell) in the domain of the cell body defined by the centrosome. The short isoforms allow plasticity of the cytoskeleton while the longer isoforms may preferentially play a role in its stabilization. In its hyper-phosphorylated form, Tau is the major component of paired helical filaments (PHF), the building block of neurofibrillary lesions in Alzheimer's diseases (AD) brain. Hyper-phosphorylation impairs the microtubule binding function of Tau, resulting in the destabilization of microtubules in AD brains, ultimately leading to the degeneration of the affected neurons. Numerous serine/threonine kinases phosphorylate Tau, including GSK-3beta, protein kinase A (PKA), cyclin-dependent kinase 5 (cdk5) and casein kinase II. Hyper-phosphorylated Tau is found in neurofibrillary lesions in a range and other central nervous system disorders such as Pick's disease, frontotemporal dementia, cortico-basal degeneration and progressive supranuclear palsy.
Specifications
Specifications
| Antigen | Phospho-Tau (Ser409) |
| Applications | Immunohistochemistry (Paraffin), Western Blot |
| Classification | Polyclonal |
| Conjugate | Unconjugated |
| Formulation | Dulbecco's PBS with 1mg/mL BSA and 0.05% sodium azide; pH 7.3 |
| Gene | MAPT |
| Gene Accession No. | P10636, P10637, P19332 |
| Gene Alias | AI413597; AW045860; DDPAC; FLJ31424; FTDP17; FTDP-17; G protein beta1/gamma2 subunit-interacting factor 1; map tau; Mapt; MAPTL; MGC138549; microtubule associated protein tau; microtubule-associated protein tau; microtubule-associated protein tau, isoform 4; microtubules; MSTD; Mtapt; MTBT1; MTBT2; Neurofibrillary tangle protein; neurofibrillary tangles; Neuronal Marker; paired helical filament-tau; PHFtau; PHF-tau; PPND; PPP1R103; protein phosphatase 1, regulatory subunit 103; pTau; RNPTAU; Tau; Tau microtubule-associated protein; tau protein; Tau-4; Tau5; Unknown (protein for MGC:134287) |
| Gene Symbols | MAPT |
| Host Species | Rabbit |
| Show More |
Product Title
By clicking Submit, you acknowledge that you may be contacted by Fisher Scientific in regards to the feedback you have provided in this form. We will not share your information for any other purposes. All contact information provided shall also be maintained in accordance with our Privacy Policy.
Spot an opportunity for improvement?