missing translation for 'onlineSavingsMsg'
Learn More

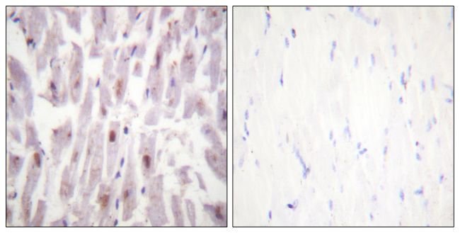
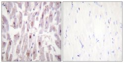
Phospho-TRAP220 (Thr1457) Polyclonal Antibody, Invitrogen™

Product Code. 15595241
Change view
Click to view available options
Quantity:
100 μg
Unit Size:
100µg
1 product options available for selection
Product selection table with 1 available options. Use arrow keys to navigate and Enter or Space to select.
Product Code. Quantity unitSize
15595241 100 μg 100µg
Use arrow keys to navigate between rows. Press Enter or Space to select a product option. 1 options available.
1 options
This item is not returnable. View return policy
Product Code. 15595241 Supplier Invitrogen Supplier No. PA538322

Please to purchase this item. Need a web account? Register with us today!

This item is not returnable. View return policy

Rabbit Polyclonal Antibody

In mammalian cells, transcription is regulated in part by high molecular weight coactivating complexes that mediate signaling between transcriptional activators and initiation factors. These complexes include the thyroid hormone receptor-associated protein (TRAP) complex, which interacts with thyroid receptors (TR), vitamin D receptors and other steroid receptors to facilitate hormone induced transcriptional activation. The TRAP complex consists of numerous proteins ranging in size from 20 to 240 kDa, including TRAP95, TRAP100, TRAP150, TRAP220 and TRAP230, that are characterized by the presence of a nuclear receptor recognition motif which mediates the liganddependent binding of TRAP proteins to the nuclear receptors. TRAP220 and TRAP100 are widely expressed and most abundantly detected in skeletal muscle, heart and placenta.
TRUSTED_SUSTAINABILITY

Specifications

Antigen Phospho-TRAP220 (Thr1457)
Applications Immunocytochemistry, Immunofluorescence, Immunohistochemistry (Paraffin), Western Blot
Classification Polyclonal
Concentration 1 mg/mL
Conjugate Unconjugated
Formulation Dulbecco′s PBS with 150mM NaCl, 50% glycerol and 0.02% sodium azide; pH 7.4
Gene MED1
Gene Accession No. Q15648, Q925J9
Gene Alias Mediator of RNA polymerase II transcription subunit 1, Activator-recruited cofactor 205 kDa component, ARC205, Mediator complex subunit 1, Peroxisome proliferator-activated receptor-binding protein, PBP, PPAR-binding protein, Thyroid hormone receptor-associated protein complex 220 kDa component, Trap220, Thyroid receptor-interacting protein 2, TR-interacting protein 2, TRIP-2, Vitamin D receptor-interacting protein complex component DRIP205, p53 regulatory protein RB18A, MED1, ARC205, CRSP1, CRSP200, DRIP205, DRIP230, PBP, PPARBP, PPARGBP, RB18A, TRAP220, TRIP2
Gene Symbols MED1
Host Species Rabbit
Immunogen A synthetic phosphopeptide derived from human PPAR-beta around the phosphorylation site of Thr1457 (A-Y-TP-P-Q)
Purification Method Antigen affinity chromatography
Quantity 100 μg
Regulatory Status RUO
Primary or Secondary Primary
Gene ID (Entrez) 19014, 5469
Target Species Human, Mouse
Content And Storage -20°C
Product Type Antibody
Form Liquid
Isotype IgG
Show More Show Less
Product Title
Select an issue

By clicking Submit, you acknowledge that you may be contacted by Fisher Scientific in regards to the feedback you have provided in this form. We will not share your information for any other purposes. All contact information provided shall also be maintained in accordance with our Privacy Policy.