missing translation for 'onlineSavingsMsg'
Learn More
Learn More
Invitrogen™ PIDD Polyclonal Antibody

Rabbit Polyclonal Antibody
Brand: Invitrogen™ PA596303
This item is not returnable.
View return policy
Description
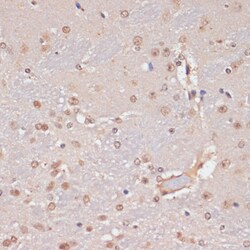
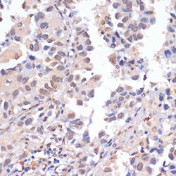
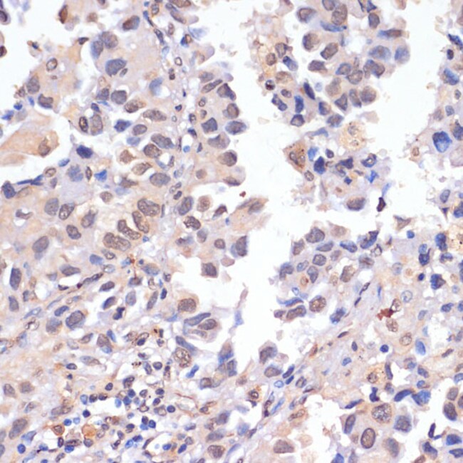
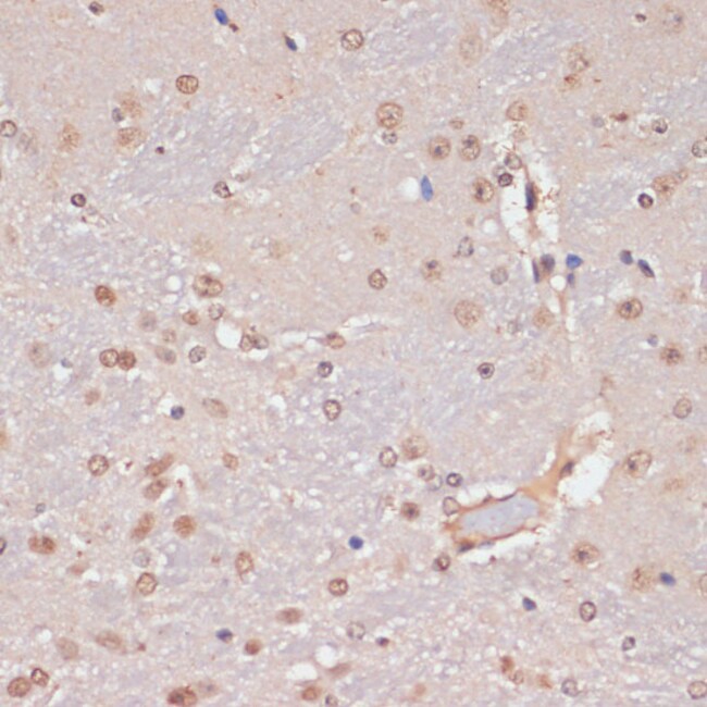
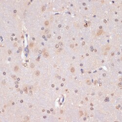
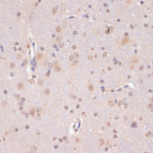
Immunogen sequence: MAATVEGPEL EAAAAAGDAS EDSDAGSRAL PFLGGNRLSL DLYPGGCQQL LHLCVQQPLQ LLQVEFLRLS THEDPQLLEA TLAQL; Positive Samples: U-87MG, 293T, K-562, Mouse brain, Mouse liver, Mouse heart, Rat brain; Cellular Location: Cytoplasm, Nucleus.
The protein encoded by this gene contains a leucine-rich repeat and a death domain. This protein has been shown to interact with other death domain proteins, such as Fas (TNFRSF6)-associated via death domain (FADD) and MAP-kinase activating death domain.
Specifications
| PIDD | |
| Polyclonal | |
| Unconjugated | |
| PIDD1 | |
| 1200011D09Rik; AU042446; DKFZp434D229; leucine-rich and death domain containing; leucine-rich repeat and death domain-containing protein; leucine-rich repeats and death domain containing; Lrdd; MGC16925; p53 induced death domain protein 1; p53 protein induced, with death domain; p53-induced death domain protein 1; p53-induced death domain-containing protein 1; p53-induced protein with a death domain; Pidd; Pidd1; PIDD-C; PIDD-CC; PIDD-N | |
| Rabbit | |
| Affinity Chromatography | |
| RUO | |
| 293625, 55367, 57913 | |
| -20°C, Avoid Freeze/Thaw Cycles | |
| Liquid |
| ELISA, Immunohistochemistry (Paraffin), Western Blot, Immunocytochemistry | |
| 1.51 mg/mL | |
| PBS with 50% glycerol and 0.02% sodium azide; pH 7.3 | |
| Q9ERV7, Q9HB75 | |
| PIDD1 | |
| Recombinant protein (or fragment) | |
| 100 μL | |
| Primary | |
| Human, Mouse, Rat | |
| Antibody | |
| IgG |
Product Content Correction
Your input is important to us. Please complete this form to provide feedback related to the content on this product.
Product Title
Spot an opportunity for improvement?Share a Content Correction