missing translation for 'onlineSavingsMsg'
Learn More
Learn More
Invitrogen™ PIG3 Polyclonal Antibody

Rabbit Polyclonal Antibody
Brand: Invitrogen™ PA583030
This item is not returnable.
View return policy
Description
Immunogen sequence: GRWVLYGLMG GGDINGPLFS KLLFKRGSLI TSLLRSRDNK YKQMLVNAFT EQILPHFSTE GPQRLLPVLD RIYPVTEIQE AHKYMEANKN IGKIVLEL Highest antigen sequence indentity to the following orthologs: Rat - 29%, Mouse - 25%.
The protein encoded by this gene is similar to oxidoreductases, which are enzymes involved in cellular responses to oxidative stresses and irradiation. This gene is induced by the tumor suppressor p53 and is thought to be involved in p53-mediated cell death. It contains a p53 consensus binding site in its promoter region and a downstream pentanucleotide microsatellite sequence. P53 has been shown to transcriptionally activate this gene by interacting with the downstream pentanucleotide microsatellite sequence. The microsatellite is polymorphic, with a varying number of pentanucleotide repeats directly correlated with the extent of transcriptional activation by p53. It has been suggested that the microsatellite polymorphism may be associated with differential susceptibility to cancer. At least two transcript variants encoding the same protein have been found for this gene.
Specifications
| PIG3 | |
| Polyclonal | |
| Unconjugated | |
| TP53I3 | |
| p53-induced gene 3 protein; PIG3; quinone oxidoreductase homolog; quinone oxidoreductase PIG3; Quinone oxidoreductase-like protein 2; RGD1304982; TP53I3; tumor protein p53 inducible protein 3; Tumor protein p53-inducible protein 3 | |
| Rabbit | |
| Antigen affinity chromatography | |
| RUO | |
| 9540 | |
| Store at 4°C short term. For long term storage, store at -20°C, avoiding freeze/thaw cycles. | |
| Liquid |
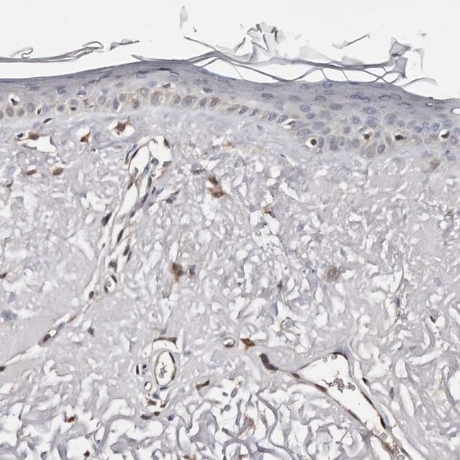
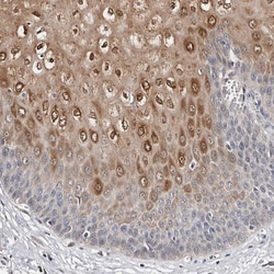
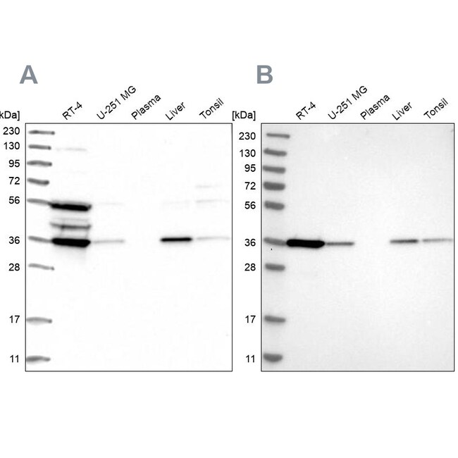
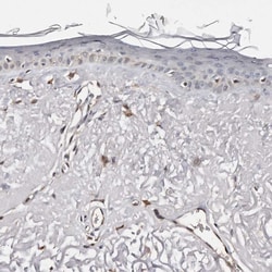
| Immunohistochemistry (Paraffin), Western Blot | |
| 0.1 mg/mL | |
| PBS with 40% glycerol and 0.02% sodium azide; pH 7.2 | |
| Q53FA7 | |
| TP53I3 | |
| Recombinant protein corresponding to Human TP53I3. Recombinant protein control fragment (Product #RP-93130). | |
| 100 μL | |
| Primary | |
| Human | |
| Antibody | |
| IgG |
Product Content Correction
Your input is important to us. Please complete this form to provide feedback related to the content on this product.
Product Title
Spot an opportunity for improvement?Share a Content Correction