missing translation for 'onlineSavingsMsg'
Learn More

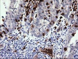
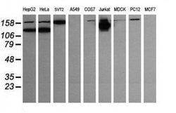
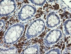
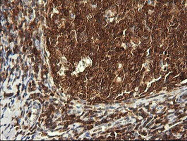
PIK3CG Monoclonal Antibody (OTI4D3), TrueMAB™, OriGene

Product Code. 17563412
Encompass_Preferred
Change view
Click to view available options
Quantity:
30 μL
100 μL
Unit Size:
100µL
30µL
2 product options available for selection
Product selection table with 2 available options. Use arrow keys to navigate and Enter or Space to select.
Product Code. Quantity unitSize
17563412 100 μL 100µL
17583412 30 μL 30µL
Use arrow keys to navigate between rows. Press Enter or Space to select a product option. 2 options available.
2 options
This item is not returnable. View return policy
Product Code. 17563412 Supplier Origene Technologies Supplier No. TA505224

Please to purchase this item. Need a web account? Register with us today!

This item is not returnable. View return policy

Mouse Monoclonal Antibody

This gene encodes a protein that belongs to the pi3/pi4-kinase family of proteins. The gene product is an enzyme that phosphorylates phosphoinositides on the 3-hydroxyl group of the inositol ring. It is an important modulator of extracellular signals, including those elicited by E-cadherin-mediated cell-cell adhesion, which plays an important role in maintece of the structural and functional integrity of epithelia. In addition to its role in promoting assembly of adherens junctions, the protein is thought to play a pivotal role in the regulation of cytotoxicity in NK cells. The gene is located in a commonly deleted segment of chromosome 7 previously identified in myeloid leukemias.

Specifications

Antigen PIK3CG
Applications Immunocytochemistry, Immunofluorescence, Immunohistochemistry (Paraffin), Western Blot
Classification Monoclonal
Clone OTI4D3
Concentration 1 mg/mL
Conjugate Unconjugated
Formulation PBS with 1% BSA, 50% glycerol and 0.02% sodium azide
Gene PIK3CG
Gene Accession No. P48736
Gene Alias PI3CG, PI3K, PI3Kgamma, PIK3, p110gamma, p120-PI3K
Gene Symbols PIK3CG
Host Species Mouse
Immunogen Full length human recombit protein of human PIK3CG produced in HEK293T cell.
Purification Method Affinity Chromatography
Quantity 100 μL
Regulatory Status RUO
Primary or Secondary Primary
Gene ID (Entrez) 5294
Target Species Human
Content And Storage -20° C, Avoid Freeze/Thaw Cycles
Product Type Antibody
Form Liquid
Isotype IgG1
Show More Show Less
Product Title
Select an issue

By clicking Submit, you acknowledge that you may be contacted by Fisher Scientific in regards to the feedback you have provided in this form. We will not share your information for any other purposes. All contact information provided shall also be maintained in accordance with our Privacy Policy.